Limfomul Hodgkin
Generalitati
Limfomul Hodgkin (cunoscut si ca boala Hodgkin) este de fapt un cancer al sistemului limfatic, un limfom cu potential curabil, ce prezinta caracteristici histologice, biologice si clinice particulare. Afectiunea fost descrisa pentru prima oara de Thomas Hodgkin, in anul 1832. Elemente definitorii ale bolii sunt aspectul microscopic (histologia) si expresia markerilor de suprafata (imunofenotipul). Limfomul se extinde organizat, de la o grupa ganglionara la urmatoarea, cuprinzandu-le pe fiecare pe rand. In acelasi timp, apar si simptome sistemice, cu atat mai grave cu cat boala este mai avansata.
Aceasta afectiune maligna are doua varfuri de incidenta: primul, in perioada 15-35 de ani, si al doilea dupa 55 de ani. Cancerul pare a fi mai frecvent la barbati comparativ cu femeile. Aceasta predominanta este mult mai pregnanta la varstele mici, cand peste 85% din pacienti sunt baieti. Detectarea si tratarea bolii intr-un stadiu incipient va imbunatati semnificativ supravietuirea pacientului, aceasta ajungand chiar la 90% daca tratamentul aplicat este corect, iar diagnosticarea s-a facut inca din stadiul I de boala.
Rata supravietuirii la 5 ani scade la 65% pentru limfomul Hodgkin stadiul IV. In prezent se recomanda radioterapie, chimioterapie sau un regim combinat, rezultatele fiind satisfacatoare. Limfomul Hodgkin a fost unul din primele cancere care au raspuns la radioterapie si ulterior la chimioterapie combinata. Se apreciaza ca in anul 2002 existau 62000 de cazuri raportate international. Afectiunea este cel mai putin intalnita in Asia, in special in Japonia si China.
Despre sistemul limfatic si limfoame
Limfomul Hodgkin este localizat la nivelul sistemului limfatic. Sistemul limfatic reprezinta o retea de vase si ganglionii interconectati. El dreneaza limfa si o parte din produsii toxici de metabolism, eliminandu-i, pe ultimii, din organism.Ganglionii limfatici sunt organizati in statii ganglionare ce functioneaza precum niste filtre si pot opri microorganismele cu potential patogen. Foarte multe din particulele exogene care pot dauna organismului sunt captate de celulele sistemului imun, si indepartate, astfel incat echilibrul mediului intern sa nu fie perturbat.
Celulele sistemului limfatic pot sa recunoasca si alte celule din corp care au suferit insa modificari patologice, cum este cazul celulelor neoplazice, si in unele cazuri le distrug, stopand proliferarea lor. Tesutul limfatic, cel prin care circula limfa, este continut in anumite organe specializate, cum ar fi splina, timus (glanda prezenta numai la copii, avand localizare retrosternala), amigdale sau maduva osoasa. De asemenea, exista zone de tesut limfatic si la nivel intestinal, acestea fiind numite foliculii sau placile Peyer.
Sistemul limfatic are trei functii principale in economia organismului, anume inlaturarea fluidului interstitial din tesuturi, absorbtia si transportul acizilor grasi si lipidelor catre sistemul circulator si vehicularea celulelor imunitatii prin organism. Limfa transporta celule specializate in preluarea antigenelor din periferie (acestea se numesc celule reprezentatoare de antigen) pana la ganglionii (nodulii) limfatici, unde este declansat raspunsul imun. Limfa transporta de asemenea si limfocite. Limfocitele sunt si ele importante in lupta impotriva diversilor agenti infectiosi cu care organismul poate veni in contact: bacterii, virusuri sau fungi.
Ori de cate ori organismul incearca sa faca fata unei infectii, observam ca ni se maresc ganglionii din regiunea afectata (daca acestia au localizare superficiala, desigur). Acest lucru este foarte normal si este considerat chiar un indicator ca imunitatea functioneaza si ca nu exista stari de imunodepresie, cand organismul este usor de invins de catre patogenii din mediul extern, sau chiar de unele bacterii saprofite care devin agresive. Limfoamele sunt cancere cu originea in celulele sistemului imun, care devin insa tumori solide. Ele apar cand celulele acestea incep sa se multiplice haotic si scapa de sub control.
Noile celule nu sunt doar mult mai numeroase, ci au si caracteristici mult mai agresive, pot invada tesuturi, pot metastaza, pot pacali restul celulelor imune, astfel incat sa nu fie distruse. In prezent exista doua tipuri principale de limfoame, anume limfomul Hodgkin silimfomul non-Hodgkin, fiecare dintre ele fiind caracterizate in functie de particularitatile morfologice pe care le prezinta.
Clasificare
Programează-te rapid la medicii recomandați de SfatulMedicului.ro prin serviciul de programări Clickmed
Găsești peste 7500 de medici cu program disponibil
Alege medicul potrivit pentru: Oncologie , Hematologie .
Conform specialistilor, exista 5 tipuri de limfom Hodgkin. Patru dintre acestea sunt incluse in boala Hodgkin clasica, in timp ce al cincilea tip (boala Hodgkin cu predominanta limfocitara), constituie o entitate patologica separata, avand un tablou clinic si un tratament diferit.
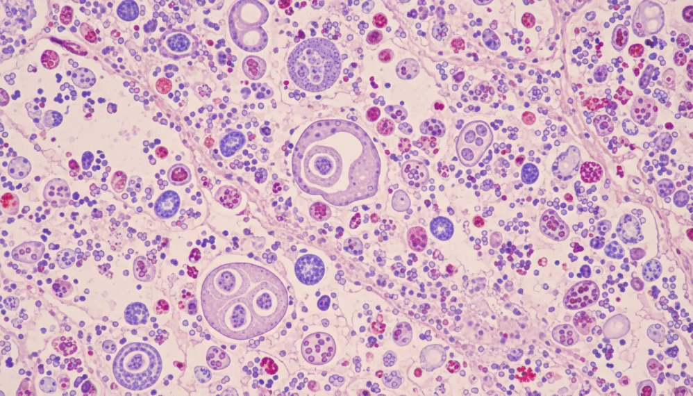
In boala Hodgkin clasica (limfomul Hodgkin) celula neoplazica este considerata celula Reed-Sternberg, chiar daca aceasta reprezinta doar 2% din masa tumorala. Restul tumorii contine plasmocite, limfocite, neutrofile, eozinofile si histiocite. Majoritatea celulelor Reed-Sternberg provin din limfocite B dar isi pierd capacitatea de a exprima anticorpi, devenind deci nefunctionale.
Variantele incluse in cadrul bolii clasice sunt:
1. Boala Hodgkin sclero-nodulara: reprezinta 60-80% din totalitatea limfoamelor Hodgkin clasice diagnosticate. Nodulii limfatici cuprind numeroase benzi fibroase care le modifica foarte mult arhitectura interna. Capsula ganglionara este mult mai ingrosata (sclerozata). O astfel de varianta apare mai frecvent la adolescenti si la adultii tineri si se localizeaza in special la nivelul ganglionilor mediastinali dar si in alte regiuni supradiafragmatice.
2. Boala Hodgkin cu celularitate mixta: apare in 15-30% din cazuri. Se caracterizeaza printr-un infiltrat difuz, celulele Reed - Sternberg au aspect clasic. Acest tip este localizat in principal la nivelul ganglionilor abdominali si splinei. Boala este diagnosticata in acest caz dupa o lunga evolutie, pacientii avand si afectare sistemica importanta. Specialistii au observat ca acest tip particular apare mai frecvent in cazul pacientilor cu infectie HIV.
3. Boala Hodgkin cu depletie limfocitara: este diagnosticata in mai putin de 1% din cazuri. Exista foarte multe variante ale acestei boli, infiltratul prezent in ganglioni variind de la limfocitar la sarcomatos. Apare mai ales la pacientii varstnici sau la cei infectati cu HIV. Pacientii se prezinta foarte tardiv la medic si din acest motiv si diagnosticarea acestui tip de limfom se face in stadii avansate.
4. Boala Hodgkin limfocitara clasica: reprezinta 5% din totalitatea cazurilor. Din punct de vedere clinic, simptomatic si al supravietuirii, se aseamana foarte mult cu tipul mixt. Spre deosebire de tipurile clasice, forma cu predominanta limfocitara nu prezinta celulele tipice Reed - Sternberg. In schimb, ea are numeroase celule in popcorn (denumirea este sugerata de faptul ca nucleul seamana foarte mult cu popcornul), limfocite si histiocite, totul pe un fond format din celule inflamatoare.
Cauze
Articole recomandate
-
Limfomul non-Hodgkin
-
Limfomul Hodgkin in timpul sarcinii
-
Boli oportuniste in HIV: limfomul non - Hodgkin
-
Colagenul in curele de slabire: cum sustine pielea si articulatiile in timpu ...
-
Stres, anxietate, suprastimulare: ce functioneaza cu adevarat pentru sistem ...
-
Limfomul malign Hodgkin
-
Campania de preventie a bolilor tiroidiene
-
Evolutia limfomului non - Hodgkin in sarcina
Deocamdata, cauzele exacte de aparitie a limfomului Hodgkin nu sunt cunoscute. Totusi, specialistii au observat anumite asociatii si chiar factori de risc pentru aparitia bolii. De exemplu, mononucleoza infectioasa, boala aparuta prin infectie cu virus Epstein Barr, manifestata dupa copilarie, poate fi un important factor de risc pentru aparitia ulterioara a limfomului. La peste 50% din pacienti tumora are celule Epstein Barr pozitive. Se pare ca perioada medie de incubatie (de evolutie de la mononucleoza infectioasa la limfom Hodgkin) este de aproximativ 3 ani.
Limfomul Hodgkin pare a fi mai frecvent si in cazul pacientilor cu infectie HIV, cu sindroame congenitale caracterizate prin imunodepresie, in cazul celor aflati sub tratament imunosupresor (post transplant, glucocorticoizi). In ciuda faptului ca limfomul Hodgkin apare mai frecvent la pacientii cu infectie HIV, aceasta neoplazie nu este incadrata in grupul bolilor ce caracterizeaza stadiul de SIDA (sindrom al imunodeficientei umane dobandite). Predispozitia genetica poate avea si ea un rol important in dezvoltarea cancerului. Aproximativ 1% dintre pacienti au un istoric familial de boala Hodgkin. La randul lor, rudele unui pacient cu limfom au un risc de 3-7 ori mai mare de a dezvolta, la randul lor, aceasta afectiune. Cel mai mare risc il au gemenii monozigoti.
Simptomatologie
Simptomele limfomului Hodgkin sunt relativ nespecifice, si pot include:
- Transpiratii nocturne;
- Astenie;
- Dureri osoase;
- Cresterea susceptibilitatii la infectii;
- Prurit generalizat;
- Scadere involuntara in greutate (mai mult de 10% in 6 luni);
- Modificari ale nodulilor limfatici: apare marirea in dimensiuni a ganglionilor, adesea nedureroasa. Cel mai frecvent se pot palpa ca modificati ganglionii cervicali si supraclaviculari (in peste 80-90% din cazuri). In unele situatii poate sa apara si sindromul de vena cava superioara, cand ganglionii sunt atat de mariti in dimensiuni incat determina compresie pe vasele mari ale regiunii cervicale;
- Splenomegalie: marirea in volum a splinei se intalneste la 30% dintre pacientii cu limfom Hodgkin. Splenomegalia nu este insa foarte importanta si nu determina sindroame compresive asupra organelor din jur. Dimensiunile ei pot varia in cursul bolii;
- Hepatomegalie: caracterizeaza 5% din pacienti si se datoreaza extensiei hepatice a limfomului;
- Hepatosplenomegalie: marirea concomitenta a splinei dar si a ficatului;
- Dureri de spate: sunt nespecifice, nu au o localizare exacta ci mai degraba sunt difuze. Majoritatea pacientilor le raporteaza la nivelul regiunii lombare;
- Petesii, hematoame ce apar spontan sau in urma unor traumatisme minore sunt rezultatul infiltrarii maduvei osoase, cresterii distructiei plachetelor in splina (cu alte cuvinte, limfomul favorizeaza diminuarea producerii de plachete si cresterea distrugerii lor);
- Durere la nivelul ganglionilor limfatici dupa ingestia de alcool (este inalt susceptibila pentru diagnosticul de limfom Hodgkin). Apare doar la 10% dintre pacienti;
- Febra, persistenta sau care alterneaza cu perioade de temperatura corporala normala;
- Simptome sugestive pentru o afectare de sistem nervos central: neuropatii, sindrom Guillain - Barre.
De retinut!
Principalii factori de risc identificati de catre specialisti pentru aparitia limfomului Hodgkin sunt:
- Sexul masculin;
- Varsta: intre 15-40 sau peste 55 de ani;
- Istoric famial de limfom Hodgkin;
- Istoric de mononucleoza infectioasa;
- Utilizare prelungita a preparatelor hormonale pe baza de hormon de crestere;
- Stari de imunodepresie marcata.
Consultarea unui specialist
Pacientii sunt sfatuiti sa se adreseze unui medic, in vederea consultului de specialitate, daca prezinta semne si simptome sugestive pentru limfom Hodgkin sau alterarea starii generale, in absenta unor patologii evidente. Semne de alarma sunt considerate:
- Detectarea ganglionilor mariti, in absenta unei infectii recente;
- Aparitia febrei;
- Transpiratii profuze (pacientul se trezeste aproape in fiecare noapte, si trebuie chiar sa isi schimbe pijamalele);
- Scadere in greutate;
- Aparitia durerilor abdominale si/sau a balonarii;
- Aparitia tusei, a dispneei, a wheezingului;
- Dezvoltarea unor pete rosiatice pe piele (petesii);
- Prurit generalizat (senzatie de mancarime);
- Predispozitia fata de infectii recurente, care se vindeca greu.
Diagnostic
Limfomul Hodgkin trebuie diferentiat de alte limfoame sau alte cauze de adenopatie (marire in volum a ganglonilor). Diagnosticul de certitudine se stabileste doar prin realizarea de biopsii ganglionare si identificarea particularitatilor tesutului analizat. Pacientului i se vor recolta si probe de sange, in principal pentru a se stabili statusul hematologic anterior inceperii chimioterapiei. Investigarea pacientului suspectat de limfom Hodgkin este inceputa insa cu anamneza, care va stabili debutul simptomelor si evolutia acestora.
Pacientului i se va face si examenul fizic general care poate releva:
- Limfadenopatie nedureroasa, palpabila in regiunea cervicala (la 60-80% dintre pacienti), axilara (la 6-20% dintre pacienti) si mai putin frecvent, inghinala;
- Splenomegalie;
- Hepatomeglaie;
- Eventual semne de neuropatie.
Procedura care stabileste diagnosticul si care poate orienta urmatoarele investigatii este biopsia ganglionara. Se prefera biopsia ganglionara excizionala, deoarece felul in care s-a modificat arhitectura si anatomia nodulului limfatic sunt esentiale si pentru stadializare si pentru clasificarea histologica a afectiunii. Daca pacientul prezinta limfadenopatie cervicala, se prefera biopsia aspirativa cu ac fin. Fragmentul tisular se va analiza microscopic, anatomopatologul stabilind care sunt caracteristicile piesei si cum variaza ele fata de normal.
Pacientului i se poate recolta si biopsie osoasa, adesea preferandu-se recoltarea bilaterala, deoarece leziunile sugestive pentru limfom nu apar peste tot, ci doar disparat. Afectarea maduvei osoase este mult mai frecvent intalnita in cazul pacientilor in varsta, al celor cu simptome sistemice sau ai celor cu factori de risc. Biopsia de maduva poate fi omisa in cazul pacientilor diagnosticati cu limfom in stadiul I sau II dar care nu au si anomalii hematologice concomitente.
Investigatiile paraclinice care vor fi efectuate sunt:
- Hemograma: isi propune sa stabileasca daca pacientul are anemie, limfopenie, neutropenie sau eozinofilie. Limfomul Hodgkin asociaza relativ frecvent anemia, datorita caracterului cronic al bolii. Citopeniile sunt mai frecvente in stadiile avansate ale limfomului;
- Masurarea nivelului lactat dehidrogenazei: LDH poate sa apara crescut, insa aceasta analiza nu ofera informatii specifice;
- Masurarea fosfatazei alcaline: ea apare crescuta cand exista si afectarea ficatului sau a osului. Pacientii pot prezenta de asemenea si hipercalcemie, hipernatremie, hipoglicemie;
- Determinarea VSH-ului (vitezei de sedimentare a hematiilor): VSH este considerat un marker general al inflamatiei, iar nivelurile sale pot fi crescute in limfomul Hodgkin. Cresterea VSH indica un prognostic mai prost.
Investigatiile imagistice includ:
- Tomografie computerizata de torace, abdomen si pelvis: se pot observa ganglionii mariti, splenomegalie si/sau hepatomegalie cu anomalii parenchimatoase focale, infiltrate pulmonare difuze si chiar pleurezii. Frecvent, mai ales in cazul bolii Hodgkin, se pot vizualiza si mase mediastinale, ce reprezinta de fapt limfadenopatii mediastinale;
- Tomografie cu emisie de pozitroni (PET): este o procedura de scanare a organismului, utilizata in special in stadializarea limfomului. Ea poate vizualiza leziuni mai mici, care scapa CT-ului;
- Radiografii toracice: pot identifica modificari aparute in hilul pulmonar precum si revarsatele;
- Rezonanta magnetica nucleara are o indicatie similara CT;
- Scintigrafiile osoase sunt recomandate in cazul pacientilor care acuza dureri osoase intense.
Toate aceste investigatii vor ajuta medicul sa stabileasca cu precizie diagnosticul. Simptomele limfomului Hodgkin sunt destul de nespecifice, multe alte boli manifestandu-se similar. Cel mai adesea, diagnosticul diferential, ceea ce trebuie medicul sa infirme, se face cu: limfomul non-Hodgkin, sarcoidoza, boala serului, infectie cu citomegalovirus, tuberculoza, sifilis, lupus eritematos sitemic. In urma analizarii rezultatelor si aprecierii starii globale de sanatate, medicul va stadializa limfomul si in functie de stadiul evolutiv, va lua decizia terapeutica.
Stadializare
Pacientii, dupa ce afla diagnosticul, doresc sa stie doua lucruri importante: care este prognosticul si care va fi tratamentul. Aceste doua aspecte esentiale sunt insa influentate de stadiul limfomului. In prezent, pentru limfomul Hodgkin se utilizeaza stadializarea Ann Arbor, care cuprinde:
- Stadiul I: afectarea unui singur grup ganglionar sau a unei singure arii extraganglionare;
- Stadiul II: afectarea a doua sau mai multor grupuri ganglionare, toate situate de aceeasi parte a diafragmei;
- Stadiul III: afectarea mai multor grupuri ganglionare, de ambele parti ale diafragmei sau extinderea la nivelul splinei;
- Stadiul IV: limfomul s-a extins la alte organe din afara sistemului ganglionar. Afectarea ficatului sau a maduvei osoase este clasificata drept stadiul IV.
Fiecare afectare extraganglionara va fi notata cu litera E, iar implicarea splinei va fi notata cu S, indiferent de stadiul bolii. Deci stadializarea poate fi, de exemplu, III, III E, III S sau chiar III E+S. De asemenea, prezenta sau absenta simptomelor va fi notata prin A sau B. “A” inseamna absenta simptomelor, in timp ce “B” inseamna prezenta febrei, transpiratiilor sau reducerii in greutate. “X” poate fi utilizat in cadrul stadializarii, daca exista o masa tumorala de mari dimensiuni.
In vederea aprecierii si stadializarii corecte a pacientului, medicul poate recomanda si efectuarea unei laparotomii. In cadrul acestei proceduri chirurgicale foarte complexe vor fi recoltate fragmente tisulare din ficat, noduli limfatici paraaortici, mesenterici, portali si din hilul splenic. Aproximativ doua treimi dintre pacienti au afectare spelnica, demonstrata de datele furnizate de laparotomie.
Limfomul Hodgkin se extinde pe cale limfatica, hematogena, sau direct, din aproape in aproape. Specialistii au intocmit si o lista cu factorii care influenteaza nefavorabil evolutia limfomului, in principal raspunsul la tratament (sau mai degraba rezistenta neoplaziei la terapie). Acestia sunt: extinderea limfomului la mai mult de 3 grupe ganglionare, afectarea organelor din jur, existenta unei mase tumorale mediastinale mai mari de 35% din diametrul total al mediastinului la nivelul vertrebrelor T5-6, un VSH de minim 50 mm/ ora la un pacient asimptomatic, existenta a cel putin una din: febra (constant peste 38 de grade), transpiratii nocturne, pierdere in greutate.
Tratament
Scopul tratamentului limfomului Hodgkin este distrugerea celulelor maligne si inducerea remisiei bolii, cu afectarea minima a tesutului sanatos, si cu aparitia cat mai redusa a reactiilor adverse la tratament, a complicatiilor si a sechelelor pe termen lung. De-a lungul terapiei pacientii sunt sfatuiti sa discute cu medicul personal orice reactie adversa pe care o vor resimti.
Schemele terapeutice actuale includ regimuri combinate, de radioterapie si chimioterapie. Limfomul Hodgkin este considerat un cancer curabil, insa tratamentul poate avea complicatii pe termen lung, inclusiv inducerea altor cancere. In ciuda ratei foarte crescute de vindecare, multe cazuri de limfom Hodgkin reapar in timp, adesea in primii ani. Tratamentul pentru varianta de limfom cu predominata limfocitara este diferit, acesta fiind un cancer care se poate deveni foarte agresiv. Radioterapia este de obicei administrata combinat cu chimioterapia. Zonele iradiate si dozele folosite sunt alese astfel incat reactiile adverse ale terapiei sa fie cat mai reduse.
Chimioterapia implica administrarea unor medicamente care pot distruge celulele canceroase. Deoarece aceste medicamente nu sunt specifice si nu actioneaza doar asupra celulelor neoplazice, vor aparea reactii secundare sistemice generalizate. Chimioterapicele vor afecta toate celulele cu rata de multiplicare rapida. Cele mai afectate sunt celulele care tapeteaza lumenul organelor digestive, celulele maduvei hematopoietice si foliculii pilosi. Nu exista un singur chimioterapic recomandat, ci sunt administrate combinatii polimedicamentoase. Acestea pot fi administrate intravenos sau oral, in functie de particularitatile medicamentului (absorbtie), dar si de preferinta pacientului.
Pacientii cu limfom refractar la aceste combinatii terapeutice, sau cu neoplazie recurenta vor fi tratati prin transplant autolog de celule stem. In cadrul acestui tratament, pacientului ii vor fi administrate doze foarte crescute de radiatii dar si de chimioterapice, in vederea distrugerii definitive a celulelor canceroase. Aceste doze sunt insa foarte toxice pentru maduva osoasa hematoformatoare. Astfel pot sa apara complicatii hematologii grave. De aceea, inainte de administrarea acestor regimuri foarte agresive, pacientului ii vor fi recoltate celule stem medulare, care sunt inghetate si transplantate apoi dupa incheierea tratamentului.
Celulele sunt recoltate si vor fi reintroduse in circulatie dupa ce tratamentul se incheie, pentru a stimula recuperarea maduvei hematoformatoare. Tratamentul pacientilor cu limfom Hodgkin si infectie HIV este mai complicat. In aceste situatii, terapia antineoplazica trebuie combinata cu terapie antiretrovirala. Rezultatele tratamentului sunt monitorizate prin realizarea de tomografii computerizate, PET si chiar biopsii ganglionare la anumite intervale de timp.
Prognostic si supravietuire
Rata supravietuirii este calculata la majoritatea cancerelor la 5 ani. Ea se refera la procentul pacientilor care ajung, in urma efectuarii tratamentului complet, sa supravietuiasca atat de mult. In cazul limfomului Hodgkin, rata de supravietuire variaza dupa cu urmeaza:
- In cazul bolii diagnosticate in stadiul I: 90-95%
- In stadiul II: 90-95%
- In stadiul III: 85-90%
- In stadiul IV: 65-80%.
Deoarece majoritatea recurentelor apar in primii ani dupa terapie, specialistii recomanda efectuarea investigatiilor paraclinice frecvente care sa stabileasca evolutia generala a pacientului si care sa includa:
- Anamneza, examen fizic general;
- Hemograma completa;
- Realizarea de tomografii computerizate si de PET: sunt recomandate la fiecare 6-12 luni in primii 2-5 ani. Daca afectiunea a debutat subdiafragmatic, se pot realiza si CT-uri de abdomen la fiecare 6 luni in primii 2-3 ani;
- Femeile care au un istoric de iradiere toracica ar trebuie sa faca o mamografie de control in fiecare an.
Complicatii
Tratamentul aplicat in cazul limfomului Hodgkin este destul de agresiv. Deci, chiar daca neoplazia in sine se vindeca, pot sa ramana sechele si pot sa apara complicatii asociate tratamentului. Un procent relativ redus din pacienti pot face leucemii, cancer de san si afectiuni cardiace cronice. De aceea, este esential ca si dupa ce boala este vindecata, pacientul sa se prezinte la vizitele periodice la medic.
Complicatiile cardiace includ: pericardita cronica, boala coronariana, valvulopatii, aritmii. Pacientii iradiati toracic (mediastinal) au un risc de 3 ori mai crescut de moarte cardiaca subita.
Complicatiile pulmonare pot fi datorate chimioterapiei sau radioterapie. Pacientii pot dezvolta fibroza pulmonara, pneumonita, dispnee, reducerea parametrilor functionali respiratori.
Infertilitatea este o problema foarte importanta asociata terapiei limfomului Hodgkin. 80% dintre barbati si 50% dintre femei ajung sa se confrunte cu ea. Infertilitatea este permanenta si ireversibila. Complicatiile infectioase se manifesta in principal prin aparitia infectiilor cu Streptococcus pneumoniae. Pot sa apara infectii cu virusurile Influenza, sau sa apara herpes zoster.
Sechelele psihosociale trebuie si ele analizate. Supravietuitorii limfomului Hodgkin acuza foarte frecvent astenie, oboseala, diminuarea capacitatii de efort, au tulburari psihoemotionale (in special anxietate sau depresie), au probleme la locul de munca sau isi gasesc cu dificultate o slujba, se confrunta cu probleme in familie si adesea apar si tulburari de natura sexuala. Echipa care se ocupa de tratarea pacientului cu limfom Hodgkin este, din aceste motive, foarte complexa si ar trebui sa includa un hematolog, un oncolog si un asistent social.
Ai o propunere de completare sau neclarități?
In cazul in care articolul nu a acoperit in totalitate un anumit aspect care va intereseaza, va incurajam sa ne trimiteti sugestii pentru completare. Astfel, ne veti ajuta sa completam si sa imbunatatim continutul pentru toti cititorii.
Programează-te rapid la medicii recomandați de SfatulMedicului.ro prin serviciul de programări Clickmed
Găsești peste 7500 de medici cu program disponibil
Alege medicul potrivit pentru: Oncologie , Hematologie .
Articole recomandate
-
Sindromul Rapp-Hodgkin (displazia ectodermala anhidrotica)
-
Limfom sau mielom? Afla care sunt diferentele
-
Cancer de intestin subtire
-
Sistemul limfatic
-
HIV si cancerul: riscuri, tipuri si optiuni de tratament
-
Cosuri cadou cu bauturi premium si delicii de calitate, cheia unui rasfat fa ...
-
Factori de risc in dezvoltarea cancerului
-
Limfoame asociate cu SIDA – Tratament


Limfomul non-Hodgkin
Limfomul Hodgkin in timpul sarcinii
Boli oportuniste in HIV: limfomul non - Hodgkin
Colagenul in curele de slabire: cum sustine pielea si articulatiile in timpu ...
Stres, anxietate, suprastimulare: ce functioneaza cu adevarat pentru sistem ...
Limfomul malign Hodgkin
Evolutia limfomului non - Hodgkin in sarcina
Sindromul Rapp-Hodgkin (displazia ectodermala anhidrotica)
Limfom sau mielom? Afla care sunt diferentele
Cancer de intestin subtire
Sistemul limfatic
HIV si cancerul: riscuri, tipuri si optiuni de tratament
Cosuri cadou cu bauturi premium si delicii de calitate, cheia unui rasfat fa ...
Factori de risc in dezvoltarea cancerului
Limfoame asociate cu SIDA – Tratament