Articole medicale Imagistica Medicala
Imagistica Medicala
-
RMN-ul de san – recomandat in diagnosticul cancerului mamar
RMN ul de san este o investigatie imagistica utilizata alaturi de mamografie, ecografie si punctie biopsie, in diagnosticul cancerului de san. Aceasta procedura utilizeaza campul magnetic pentru...
-
Ecografia 2D, 3D si 4D. Care sunt diferentele?
Ecografia este tehnica imagistica bine cunoscuta si folosita in intreaga lume, pentru diagnosticul afectiunilor abdominale. Una dintre cele mai cunoscute utilizari ale ecografiei este monitorizarea...
-
Investigatii precise - RMN si CT - diferente, cand si de ce se fac?
Analizele de sange, dozarile hormonale sau examenele de urina pot oferi indicii asupra existentei unor afectiuni de care sufera organismul. Acestea sunt necesare fiind primul punct de la care se...
-
Ce este mamografia si de ce avem nevoie de ea? Interviu cu Dr. Andreea Lefter, medic specialist radiologie si imagistica medicala
Mamografia este cea mai importanta din cele 4 metode standard recunoscute la nivel european si international de depistare a cancerului de san (mamar). Celelalte sunt ecografia mamara, RMN-ul mamar...
-
Care sunt cauzele durerilor la san? Ne raspunde Dr. Cristian Nicolae, medic primar radio-imagistica
Mastodinia (durerea de san) poate aparea la orice varsta ,chiar si dupa menopauza.Cel mai frecvent o intalnim la femeile tinere. Pentru multe femei,durerea in san este suparatoare.Poate genera...
-
Caror pacienti li se recomanda examinarea Computer Tomograf (CT) dupa infectia COVID-19?
Tot mai multe persoane care au trecut printr-o forma medie sau severa de COVID-19 se intorc la spital pentru a cere ajutorul medicilor pneumologi. Acestia au nevoie de tratament si monitorizare...
-
De ce este importanta monitorizarea imagistica a pacientilor vindecati de COVID-19
Specialistii vorbesc tot mai des despre sechelele pulmonare cu care raman pacientii vindecati de COVID-19. Studiile arata clar ca sunt persoane vindecate care si la trei luni de la externare acuza...
-
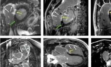
Cardio-RM-ul, cea mai complexa investigatie dedicata inimii si aplicatiile sale pentru pacientii din Romania
Principiul rezonantei magnetice a fost descris in 1946, dar debutul in imagistica dedicata aparatului cardiovascular a avut loc abia in anii 1970, cand a inceput sa fie aplicata pentru masurarea...
-
Indicatiile tomografiei computerizate abdominale
Tomografia computerizata sau scanarea CT reprezinta un tip de radiografie specializata care afiseaza imagini transversale ale unei anumite zone a corpului. Scanarea CT implica un dispozitiv special...
-
Tot ce trebuie stiut despre scintigrafia de golire gastrica
Scintigrafia de golire gastrica este o investigatie ce foloseste medicina nucleara pentru a determina durata in care alimentele ingerate parasesc stomacul. Se diferentiaza de o radiografie...
-
Tot ce trebuie stiut despre scanarea PET
Scanarea PET sau tomografia cu emisie de pozitroni reprezinta un test de imagistica medicala foarte sensibil care permite medicului sa descopere numeroase boli. Scanarea PET foloseste un...
-
Lucruri pe care ar trebui sa le stii inainte de a face un RMN cerebral
Imagistica prin rezonanta magnetica cerebrala reprezinta o investigatie nedureroasa si neinvaziva, care produce imagini detaliate ale creierului si trunchiului cerebral. Un dispozitiv special...
-
Ecografia tiroidiana: scop, procedura si beneficii
Tiroida este o glanda de dimensiuni mici, sub forma de fluture, situata in partea din fata a gatului si alcatuita din doi lobi. Cu toate ca este o glanda mica, indeplineste un rol foarte important...
-
Scanarea HIDA in evaluarea functiei vezicii biliare
Daca o persoana este suspectata ca ar avea afectiuni ale ficatului sau vezicii biliare, medicul poate recomanda efectuarea unei scintigrafii hepato-biliare, adica a unei scanari HIDA. Scanarea HIDA...
-
Endoscopia: tipuri, pregatire si riscuri potentiale
Endoscopia este o procedura medicala prin care se insera un tub lung, subtire, echipat cu o camera video, in corpul pacientului pentru a se putea observa in detaliu un organ sau un tesut. Prin...
Specialitati medicale
- Alergologie-Imunologie
- Analize medicale
- Cardiologie
- Chirurgie generala
- Chirurgie plastica
- Dermatologie-Estetica
- Diabet, nutritie, boli metabolice
- Diete-Nutritie
- Endocrinologie
- Flebologie
- Gastroenterologie
- Ginecologie
- Hematologie
- Homeopatie
- Imagistica Medicala
- Infectioase
- Medicina alternativa
- Medicina Generala
- Medicina interna
- Nefrologie
- Neurologie
- Oftalmologie
- Oncologie
- ORL
- Ortopedie
- Pediatrie
- Pneumofiziologie
- Proctologie
- Psihologie-Psihiatrie
- Recuperare medicala
- Reumatologie
- Sanatate sport
- Sarcina
- Sexologie
- Stomatologie
- Urologie
-
Interpretare simptome
semnificatia simptomelor si afectiunile probabile
Afla acum


Urmareste Sfatul Medicului
Aboneaza-te la Newsletter