Cardio-RM-ul, cea mai complexa investigatie dedicata inimii si aplicatiile sale pentru pacientii din Romania
Articol realizat de Dr. Razvan Capsa, Dr. Sebastian Onciul, Dr. Radu Nicolaescu, Dr. Monica Dobrovie, Dr. Sebastian Militaru, Dr. Andrei Voicovici cu Centrul Medical Emerald
1. De cand exista Cardio-RM in lume si in Romania?
Principiul rezonantei magnetice a fost descris in 1946, dar debutul in imagistica dedicata aparatului cardiovascular a avut loc abia in anii 1970, cand a inceput sa fie aplicata pentru masurarea metabolismului cardiac, ulterior dezvoltandu-se tehnica ce permite incepand din anii 80 sa evalueze functia si morfologia cordului.
Odata cu aparitia substantelor de contrast in anii 1990-2000, s-a putut evalua viabilitatea miocardica si s-au vizualizat cicatricile fibrotice intramiocardice. Astfel Cardio-RM poate in prezent analiza inima in toata complexitatea structurii si functiei acesteia, avand marele avantaj ca este ne-iradiant.
Dezvoltarea Cardio-RM a fost premiata cu 5 premii Nobel de-a lungul timpului.
In Romania, primele examene IRM cardiace au inceput la Institutul Clinic Fundeni, experimental din anul 2000 si avand utilizare diagnostica clinica din anul 2001, cu ocazia instalarii primului aparat IRM cu intensitate a campului magnetic de 1,5 tesla din tara.
Centrul Medical Emerald este printre putinele centre din Romania care efectueaza atat Cardio-RM, cat si Cardio-RM de stres, investigatia fiind realizata de o echipa de medici cu experienta internationala, ce au realizat impreuna peste 3000 de investigatii de acest tip.
2. Despre metoda, cand ma poate ajuta o asemenea investigatie? Indicatii si boli
Rezonanta magnetica (RM) cardiovasculara (Cardio-RM) este cea mai avansata metoda imagistica de evaluare a functiei inimii. La Emerald, investigatia este realizata de o echipa formata dintr-un medic radiolog cu experienta si un medic cardiolog specializat in RM cardiovasculara, in timpul acesteia fiind preluate peste 1500 de imagini de pe inima.
Articole recomandate
-
Imagistica prin rezonanta magnetica (IRM sau RMN)
-
Cum functioneaza exercitiile cardio
-
Imagistica prin Rezonanta Magnetica a toracelui
-
Osteoartrita, artrita, dureri articulare: ce se intampla cand gelul obisnuit ...
-
Reabilitarea completa a danturii pe implanturi: ce presupun procedurile All- ...
-
Investigatii precise - RMN si CT - diferente, cand si de ce se fac?
-
Tot ce trebuie sa stii despre Rezonanta Magnetica Nucleara (RMN)
-
Inima artificiala, inovatia care salveaza vieti
Rezonana magnetica este o scanare nedureroasa si inofensiva, ce ne permite sa privim in interiorul corpului fara utilizarea razelor X. Cu ajutorul unui magnet i a undelor radio obinem imagini detaliate, de foarte buna calitate cu privire la structura i funcia inimii.
Cardio-RM este indicata in toate situatiile in care ecografia cardiaca nu poate oferi informatii complete, deoarece ultrasunetele nu pot patrunde pana la nivelul inimii (ferestre ecografice dificile). Aceasta situatie se intalneste frecvent la pacientii cu perete toracic gros (obez), la cei longilini, sau la pacientii cu boli pulmonare asociate.
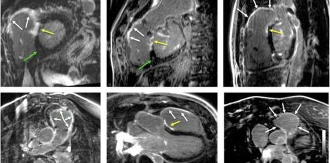
Este indicata in cazul urmatoarelor patologii: boli congenitale de cord, boala cardiaca ischemica, infarct miocardic acut sau cronic (evaluarea cicatricilor / viabilitatii miocardice), evaluarea parametrilor de severitate si studiul cauzelor de insuficienta cardiaca, cardiomiopatie hipertrofica sau dilatativa (inclusiv analiza extensiei, aspectului, intensitatii si localizarii fibrozei miocardice in anumite tipuri de cardiomiopatii), miocardita, cardiomiopatie aritmogena de ventricul drept, studiul substratului morfologic al unor tulburari de ritm cardiac, detalii asupra miocardului in diferite tipuri de cardiomiopatii infiltrative (talasemie, hemocromatoza, amiloidoza, sarcoidoza, Boala Fabry), patologie vasculara cardiaca, evaluarea tumorilor cardiace.
La Emerald se efectueaza rezonanta magnetica cardiaca de stres, o investigatie noua in Romania, dar foarte utilizata in alte tari europene, care se efectueaza prin administrarea controlata a unui agent medicamentos de stres.
Metoda se adreseaza pacientilor cu durere toracica (angina pectorala) pentru a se diagnostica semnificatia functionala a anumitor stenoze la nivelul arterelor coronare.
3. Care sunt beneficiile si avantajele investigatiei Cardio-RM pentru medici si pacienti
• Realizeaza imagini de rezolutie inalta fara sa depinda de tipul constitutional al pacientului
• Este o metoda neiradianta si neinvaziva
• Substanta de contrast folosita este mult mai bine tolerata decat cea utilizata la CT (nu contine Iod)
• Evalueaza nu doar functia miocardica, pentru care este o metoda de inalta eficienta, ci si structura (morfologia) peretelui inimii, intr-un mod mai eficient fata de ecografie sau de computer-tomografia cardiaca (CT). Astfel poate delimita exact cat de extins este un infarct, ca suprafata cat si profunzime in grosimea muschiului cardiac. De asemenea detecteaza tesutul cicatricial (fibroza) care apare in diverse cardiomiopatii si ajuta la diferentierea intre acestea. Poate detecta si continutul de apa (edem) al miocardului, si face diferenta intre evenimente cardiace recente si vechi. Ajuta si in diagnosticul tumorilor intracardiace. Este esentiala in analiza anatomiei si hemodinamicii la pacientii cu boli congenitale.
• in functie de complexitatea cazului, un examen poate contine peste 2.500 de imagini.

Echipa – diferenta Emerald
In Centrul Medical Emerald, fiecare examinare Cardio-RM se efectueaza in prezenta unei echipei medicale, cu o vasta experienta in realizarea acestei investigatii.
Aceasta este formata din 6 medici si o echipa de asistenti special pregatita pentru investigatie:
Dr Razvan Capsa – medic primar radiologie si imagistica medicala, cu experienta de peste 15 ani in imagistica cardiovasculara. Doctor in stiinte medicale, este sef de lucrari la UMF Carol Davila, membru al Comitetului National al Societatii Romane de Radiologie si Imagistica medicala (SRIM), membru al Societatii Franceze de Radiologie (SFR), membru fondator si in exercitiu al Consiliului Director al Societatii de Rezonanta Magnetica in Medicina din Romania (SRMMR), membru asociat al Societatii Romane de Cardiologie (SRC). Este printre primii medici care a realizat in Romania aceasta investigatie, la Institutul Clinic Fundeni din Bucuresti, inca din anul 2002.
Domeniu special de interes in Cardio-RM: studiul noilor tehnologii si aplicatii in vederea validarii pentru introducerea lor in practica clinica.
Dr Radu Nicolaescu – medic specialist radiolog, specializat in Cardio-RM, avand un interes special pentru bolile cardiace congenitale. A realizat peste 400 de investigatii in Echipa Emerald.
Dr Sebastian Onciul este medic cardiolog imagist specializat in cardio-RM. A obtinut bursa de training a Societatii Europene de Cardiologie, pentru a se pregati in domeniul rezonantei magnetice in Marea Britanie, la Universitatea din Leeds. Este co-autor al Ghidului de Rezonanta Magnetica Cardiovasculara al Societatii Europene de Cardiologie si al Societatii Europene de Imagistica Cardiovasculara (ESC/EACVI). A efectuat peste 2000 de examinari cardio-RM, dintre care 500 de investigatii in echipa Emerald.
Interese: Boala cardiaca ischemica, evaluarea viabilitatii si ischemiei miocardice prin RM de stres.
Dr. Monica Dobrovie, Medic specialist cardiolog cu formare in imagistica non-invaziva multimodala cardiaca. Pe parcursul a patru ani de rezidentiat in Germania a obtinut competentele europene (EACVI) de ecografie transtoracica si ecografie transesofagiana intraoperatorie. Dupa incheierea specializarii in cardiologie a urmat un an de cercetare in Belgia, unde a absolvit studiile postuniversitare de imagistica avansata ale Universitatii din Leuven, si s-a specializat in CARDIO-RM, absolvind examenul de certificare CARDIO-RM al Societatii Europene de Imagistica Cardiovasculara. A realizat in Belgia peste 300 de investigatii
Interese si patologii: Cardiomiopatii genetice. Boli congenitale.
Dr. Sebastian Militaru este doctor in stiinte medicale, medic cardiolog cu formare in imagistica non-invaziva multimodala cardiaca. in cursul ultimilor doi ani de rezidentiat a lucrat in Belgia. Acolo a facut parte din echipa de cercetare in imagistica cardiaca avansata a Universitatii Catolice din Louvain si s-a specializat in Cardio-RM la spitalul St Luc. in aceasta perioada a absolvit examenul de certificare CARDIO-RM al Societatii Europene de Imagistica Cardiovasculara.
Dr Andrei Voicovici este medic rezident radiolog, cu interes pe zona de imagistica cardiaca. Asigura alaturi de echipa de medici preluarea imaginilor in cele mai bune conditii si cu cea mai buna calitate. A participat la diverse congrese nationale si internationale, este membru in Societatea Romana si Franceza de Imagistica Medicala. A realizat la Emerald peste 100 de investigatii Cardio-RM.
In ultimul an, au fost realizate in aceasta formula in Centrul Medical Emerald peste 500 de investigatii Cardio-RM, in unele cazuri realizandu-se investigatii cu peste 4000 de imagini. Cu o experienta bogata si o recunoastere la nivelul comunitatii de medici cardiologi din Romania, bazandu-se pe ultimele inovatii tehnologice dar si cu o prezenta la numeroase congrese stiintifice de cardiologie si imagistica, nationale si internationale, echipa Emerald prezinta garantia unui rezultat al investigatiei Cardio-RM pe care medicii cardiologi se pot baza in luarea urmatoarelor decizii de tratament sau interventionale.
Afla mai multe despre Cardio-RM aici.
Opiniile exprimate in acest material apartin partenerului nostru. Aceste opinii pot sa nu reprezinte pozitia SfatulMedicului.ro si nici sugestie de achizitie. Va sfatuim ca pentru orice problema medicala, sa consultati intotdeauna un medic, inainte de a incepe sau a schimba un plan de tratament.
Articole recomandate
-
RMN-ul de san – recomandat in diagnosticul cancerului mamar
-
Lucruri pe care ar trebui sa le stii inainte de a face un RMN cerebral
-
Principalele manifestari ale bolilor cardio-vasculare
-
Tot ce trebuie stiut despre scanarea PET
-
Inima sportivului: cand performanta ascunde riscuri – bolile cardiace ascu ...
-
Oboseala afecteaza milioane de oameni: cum devin un sprijin farmaciile moderne
-
Bolile de inima: simptome specifice
-
Transplantul de inima – beneficii si atentionare


Imagistica prin rezonanta magnetica (IRM sau RMN)
Cum functioneaza exercitiile cardio
Imagistica prin Rezonanta Magnetica a toracelui
Osteoartrita, artrita, dureri articulare: ce se intampla cand gelul obisnuit ...
Reabilitarea completa a danturii pe implanturi: ce presupun procedurile All- ...
Investigatii precise - RMN si CT - diferente, cand si de ce se fac?
Tot ce trebuie sa stii despre Rezonanta Magnetica Nucleara (RMN)
Inima artificiala, inovatia care salveaza vieti
RMN-ul de san – recomandat in diagnosticul cancerului mamar
Lucruri pe care ar trebui sa le stii inainte de a face un RMN cerebral
Principalele manifestari ale bolilor cardio-vasculare
Tot ce trebuie stiut despre scanarea PET
Inima sportivului: cand performanta ascunde riscuri – bolile cardiace ascu ...
Oboseala afecteaza milioane de oameni: cum devin un sprijin farmaciile moderne
Bolile de inima: simptome specifice
Transplantul de inima – beneficii si atentionare