Fracturile diafizare ale oaselor antebratului
Generalitati
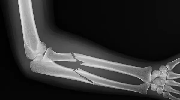
Fracturile diafizare ale oaselor antebratului sunt localizate in zona membranei interosoase (sub tuberozitatea bicipitala radiala si deasupra interliniei articulare radio-carpiene, care separa metafiza de diafiza), in urma actiunii agentului traumatic.
In cazul facturii antebratului se poate afirma ca este vorba de o dubla fractura deaorece sunt implicate 2 oase: radiusul si ulna.
Prin intermediul celor 2 oase ale antebratului se realizeaza miscarea de pronatie si supinatie.
Ulna are o discreta curbura in plan sagital si forma unui S cu curburi putin accentuate in plan frontal.
Radiusul are si el o discreta curbura cu concavitatea anterioara in plan sagital si 2 curburi accentuate in plan frontal.
In urma actiunii agentului traumatic are loc lezarea celor 2 oase iar musculatura antebratului (care realizeaza miscarea de pronatie si supinatie) accentueaza leziunea produsa prin mecanismul de tragere.
Fracturile antebratului consolidate vicios modifica forma si raporturile celor doua oase determinand blocarea miscarii de prono-supinatie.
Pentru pastrarea acestei miscari reducerea fracturii trebuie sa fie anatomica pentru a mentine lungimea celor doua oase precum si forma in special curbura pronatorie a radiusului.
La acest nivel se pot intalni si fracturile in lemn verde, care au o incidenta crescuta la copil datorita elasticitatii oaselor, in care numai o parte a corticalei osului este intrerupta.
Tratamentul fracturilor antebratului consta in mentinerea lungimii precum si a curburilor normale ale radiusului pentru a nu fi afectata miscarea de supinatie si pronatie.
Etiopatogenie
Acest tip de fractura este frecvent intalnita la adulti si copii.
Mecanismul de preducere a acestor fracturi este unul indirect (prin cadere pe mana) cu accentuarea curburii oaselor antebratului sau mecanism direct (fractura “de aparare” a ulnei cand antebratul este ridicat in fata capului si este lovit de un corp contondent pe fata sa interna ) cand agentul traumatic actioneaza direct asupra osului, iar focarul de fractura corespunde cu locul actiunii agentului traumatic.
Simptome
In urma producerii unei fracturi se instaleaza semne generale si locale.
Semnele generale constau in agitatie, anxietate, paloare iar uneori se poate instala starea de soc mai ales in acidentele importante.
Afectarea starii generale se produce mai frecvent in fracturile membrului inferior, in fracturile deschise atat la nivelul membrului superior cat si inferior, in politraumatisme cand au loc si alte leziuni viscerale.
Semnele locale ale fracturii pot fi semne de probabilitate si de certitudine.
Semnele de probabilitate sunt:
- durere in punct fix insotita de impotenta functionala.
In momentul producerii fracturii pacientul are o durere locala foarte puternica, care ulterior diminueaza, persistand o durere de fond care se graveaza la mobilizarea segmentului fracturat.
Datorita durerii pacientul are tendinta de a mentine imobilizat membrul afectat, instalandu-se impotenta functionala
- tumefactia zonei insotita de deformarea regiunii, ulterior echimoza la nivelul fracturii
- deformare locala
- pozitie vicioasa prin deplasarea fragmentelor precum si prin scurtarea segmentului respectiv.
Semnele de certitudine confirma prezenta fracturii.
Aceastea sunt:
- mobilitate anormala
- prezenta crepitatie osoase
- intreruperea continuitatii osoase
- intransmisibiliatatea miscarilor – imprimarea unei miscari segmentului distal de fractura nu este transmisa la segmentul situat proximal de fractura datorita intreruperii parghiei osoase.
In conditiile unei fracturi incomplete (fisuri) nu sunt prezente semnele de certitudine ale fracturii ci numai semnele de probabilitate.
Investigatii
Programează-te rapid la medicii recomandați de SfatulMedicului.ro prin serviciul de programări Clickmed
Găsești peste 7500 de medici cu program disponibil
Alege medicul potrivit pentru: Ortopedie , Ortopedie pediatrica .
Se efectueaza radiografii de fata si profil a intregului antebrat care trebuie sa cuprinda inclusiv articulatiile proximala si distala pentru evidentierea unor eventuale leziuni secundare.
In unele cazuri este necesara efectuarea tomografiei computerizate pentru a evidentia leziunile de parti moi.
Diagnostic
Examenul clinic si radiografia la nivelul antebratului stabileste diagnosticul de certitudine.
Diagnosticul pozitiv se pune pe mobilitatea anormala a segmentului de membru, pe prezenta crepitatiilor osoase si pe imagistica.
Diagnosticul diferential se face cu contuziile cotului sau ale pumnului.
Complicatii
Complicatiile imediate sunt reprezentate de prezenta lezinilor vasculare insotite de afectare nervoasa (lezarea nervului median care se intalneste mai frecvent precum si lezarea nervului ulnar si radial). O alte complicatie precoce este infectia in cazul fracturilor deschise.
Fractura izolata a treimii superioare a ulnei se insoteste frecvent de luxatia capului radial. Acest tip articular de fractura se numeste Monteggia-Stanciulescu.
In cazul fracturii izolate a treimii inferioare a radiusului se intalneste frecvent dislocatia radio-ulnara distala (fractura Galeazzi).
De asemenea complicatiile precoce sunt marcate mai ales de sindromul de compartiment care netratat determina retractia degetelor si a pumnului in flexie numit sindrom Volkman.
Complicatii tardive sunt reprezentate de formarea calusului vicios care ulterior va limita miscarea de prono-supinatie, pacientul prezentand durere articulara.
O alta complicatie tardiva este instalarea pseudoartrozei. La copil fracturile oaselor antebratului sunt de obicei in “lemn verde” datorita periostului mai gros, astfel ca o complicatie tardiva a fracturii antebratului la copii consta in inchiderea prematura a cartilajului de crestere cu devierea antebratului.
Evolutie
Articole recomandate
-
Fracturile bratului – diafiza humerala
-
Fracturile diafizare ale femurului (fracturi la nivelul coapsei)
-
Fracturile membrului superior
-
Cum recunosti rapid un accident vascular cerebral. Cele trei semne care salv ...
-
Dupa operatiile cardiace sau episoadele post-acute, incepe adevarata lupta: ...
-
Necazuri de sezon: fracturile
-
Cele mai comune fracturi ale adultului
-
Cum poti recunoaste o fractura
Sub tratamentul corespunzator se realizeaza consolidarea. La adult aceasta necesita minim trei luni datorita suprafetei reduse de contact si a dificultatilor de imobilizare.
Tratament
Principalul obiectiv al tratamentului este reprezentat de consolidarea fracturii cu articulatiile cotului si pumnului nedureroase si mobile fara limitarea miscarilor de prono-supinatie. Tinand cont de faptul ca in fracturile antebratului consolidarea este lenta, tratamentul de electie este cel chirurgical.
Tratamentul ortopedic (reducerea si imobilizarea antebratului) se recomanda in fracturile in “lemn verde” intalnite la copil sau in fracturile cu minima deplasare a unui singur os al antebratului. Acesta consta in imobilizarea in aparat gipsat brahio-palmar timp de 2-3 saptamani.
In fracturile cu deplasare mare la copil se poate realiza reducerea ortopedica si imobilizarea cu ajutorul brosei Kirschner.
La adult se recomanda tratamentul chirurgical, acesta fiind de electie, astfel realizandu-se reducerea sangeranda si osteosinteza ambelor oase cu placa cu compactarea radiusului si cu placa, tija sau brosa centromedulara a ulnei.
La copil este acceptata in unele cazuri osteosinteza centromedulara cu brosa.
In fractura izolata a treimii superioare a ulnei (fractura Monteggia-Stanciulescu) se prefera tratamentul chirurgical – reducere sangeranda si osteosinteza cu placa a ulnei.
Dupa refacerea lungimii ulnei apare de obicei reducerea spontana a luxatiei capului radial, acest aspect trebuie controlat radiologic intraoperator.
Daca nu se obtine reducerea spontana este necesara reducerea ortopedica sau cea chirurgicala.
In fractura izolata a treimii inferioare a radiusului (fractura Galeazzi) este indicata reducerea sangeranda urmata de osteosinteza cu placa cu compactarea radiusului, aceasta determimnand reducerea spontana a dislocatiei radio-ulnare distale.
Tratamentul complicatiilor are ca obiectiv inlaturarea deficitului functional determinat de calusul vicios precum si de pseudoartroza.
Calusul vicios este inlaturat prin osteotomie, grefa osoasa urmata de osteosinteza ferma iar pseudoartroza necesita decorticare osteoperiostica, grefa osoasa si osteosinteza ferma.
Ai o propunere de completare sau neclarități?
In cazul in care articolul nu a acoperit in totalitate un anumit aspect care va intereseaza, va incurajam sa ne trimiteti sugestii pentru completare. Astfel, ne veti ajuta sa completam si sa imbunatatim continutul pentru toti cititorii.
Programează-te rapid la medicii recomandați de SfatulMedicului.ro prin serviciul de programări Clickmed
Găsești peste 7500 de medici cu program disponibil
Alege medicul potrivit pentru: Ortopedie , Ortopedie pediatrica .


Fracturile bratului – diafiza humerala
Fracturile diafizare ale femurului (fracturi la nivelul coapsei)
Fracturile membrului superior
Cum recunosti rapid un accident vascular cerebral. Cele trei semne care salv ...
Dupa operatiile cardiace sau episoadele post-acute, incepe adevarata lupta: ...
Necazuri de sezon: fracturile
Cele mai comune fracturi ale adultului
Cum poti recunoaste o fractura
Fracturi ale gambei
Anatomia cotului
Durerea persistenta dupa fractura sau entorsa
Fractura de mandibula
Fractura de clavicula
Colagenul in curele de slabire: cum sustine pielea si articulatiile in timpu ...
Fracturile degetelor de la picior
Fractura faciala