Piciorul Reumatoid

Dr. Marius Uscatu
Specialist in chirurgia gleznei si a piciorului
Clinica: Centrul de chirurgia ante-piciorului Dr. Marius Uscatu
Definitii
.jpg)
Ce este piciorul?
Acea parte a mebrului pelvin (inferior) situata distal (mai jos) de glezna.
Ce este piciorul reumatoid?
Deformarea piciorului din poliartrita reumatoida (PAR).
Ce este PAR (poliartrita reumatoida)?
O maladie inflamatorie generala, evolutiva, ce afecteaza atat unele articulatii cat si diverse organe interne.
Atingerea articulara
Atingerea articulara este precoce si evolutiva:
- distala, bilaterala si simetrica, cu dureri ce predomina la nivelul mainilor(articulatii metacarpo-falangiene, inter-falangiene), pumnului si antepiciorului;
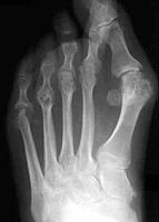
- atingerea radiologica predomina la nivelul antepiciorului, eroziunile articulare fiind prezente in 69% din cazurile cu mai putin de 3 luni de evolutie, iar piciorul este de 2 ori mai afectat decat mana;
- sunt afectate in ordine descrescanda: metatarso-falangienele, metacarpo-falangienele, stiloida ulnara, interfalangienele proximale ale piciorului, carpul, radio-carpiana, inter-falangiana halucelui si inter-falangienele mainilor;
- starea articulatiilor evolueaza catre distrugeri, cu dislocatii sau anchiloze secundare, cu leziuni cicatriceale si retractii post-inflamatorii;
- evolutia atinge deseori si articulatiile mari (umar, cot, sold, genunchi si glezna);
- subluxatia radiologica atlanto-axoidiana este frecventa si singura cu risc vital si urgenta majora.
Atingerea extra - articulara
Programează-te rapid la medicii recomandați de SfatulMedicului.ro prin serviciul de programări Clickmed
Găsești peste 7500 de medici cu program disponibil
Alege medicul potrivit pentru: Reumatologie , Recuperare medicala .
Atingerea extra-articulara (a intregului organism):
1. Manifestari cutaneo-mucoase: noduli reumatoizi, uscaciune oculo - bucala in cazul sindromului Sjogren secundar, sindromul Raynaud, infarctul peri - ungheal;
2. Manifestari pleuro-pulmonare: pleurezie, dilatarea bronhiilor, plamanul reumatoid, precum si complicatii legate de tratament;
3. Manifestari cardiace: pericardite, deseori fara manifestari clinice;
4. Complicatii renale: amiloidoza, aprecum si complicatii legate de tratamentul anti-inflamator non-steroidian;
5. Manifestari neurologice periferice: sindromul canalului carpian, complicatiile vascularitelor, amiloidoza, complicatii legate de cortizon sau tratamentul de fond;
6. Manifestari neurologice centrale: compresiune medulara prin subluxatie vertebrala cervicala C1 - C2;
7. Atingerea neurologica periferica, cu deficit motor, cu sau fara leziuni ulcer-necrozante ale membrelor inferioare: trebuie sa indice o vasculita reumatoida, ce necesita un tratament urgent pentru a spera o recuperare eficace.
Specificitatea piciorului reumatoid
Articole recomandate
-
Mituri legate de poliartrita reumatoida
-
HALLUX-VALGUS (monturi)
-
Poliartrita reumatoida
-
Colagenul in curele de slabire: cum sustine pielea si articulatiile in timpu ...
-
Stres, anxietate, suprastimulare: ce functioneaza cu adevarat pentru sistem ...
-
Laserul si poliartrita reumatoida
-
Poliartrita reumatoida – simptome timpurii care trebuie sa iti dea de gandit
-
Protocol de practica in poliartrita reumatoida
Specificitatea piciorului reumatoid
- Atingerea ante-piciorului este frecventa (la circa 70 - 90% din pacientii cu poliartrita reumatoida), determinand impotenta functionala dureroasa si deformatii foarte greu tolerate;
- Se observa aparitia "monturilor" si a deformatiilor (grifelor) digitale extrem de rapid, uneori intr-un interval de circa 6 luni. Aspectul este cel al "monturilor" foarte evoluate, insa este vorba despre o alta entitate, piciorul reumatoid;
- Pacientul se confrunta cu incapacitatea progresiva de a se incalta convenabil si de a avea un mers normal;
- Atingerea este bilaterala dar adesea asimetrica, atat ca localizare, ca forma de manifestare, cat si ca data de aparitie si gravitate;
- Sunt atinse articulatiile metatarso - falangiene laterale, atat la nivelul cartilajului cat si al componentelor stabilizatoare (capsula, placa plantara,ligamente), formatiunile teno-sinoviale ale muschilor lungi si ale spatiilor inter si sub-metatarsiene, precum si anumiti muschi intrinseci ai piciorului. Se produce progresiv o fragilizare a tuturor acestor structuri, majoritatea contribuind la sustinerea piciorului si fiind responsabile de aspectul clinic al piciorului reumatoid. De fapt, PAR nu face decat sa precipite problemele arhitecturale care ar fi aparut inevitabil in cadrul unui picior “de tip static”;
- Atingerile metatarso-falangiene laterale sunt frecvente si precoce, dar nu evolueaza catre anchiloza, spre deosebire de articulatiile halucelui (metatarso - falangiana sau inter-falangiana);
- Edemul peri-articular, bursitele inter-metatarsiene, ca si artrita tarso-metatarsiana vor favoriza etalarea “claviaturii” metatarsiene, favorizata si de mobilitatea particulara a M1 si M5 si de forma particulara a articulatiilor Lisfranc (tarso-metatarsiene).
- Nu exista vreo 'cadere a boltii plantare'. Metatarsienele mediane sunt fixe si nu exista vreo bolta care 'cade', ci capetele metatarsienelor incep sa proemine plantar ca urmare a distrugerii placii plantare si a echilibrului musculaturii intrinseci, cu aparitia luxatiilor metatarso-falangiene;
- Scaderea capacitatii functionale a muschilor interososi si lombricali plantari provoaca destabilizarea lanturilor articulare ale degetelor, cu grife secundare (degete "in ciocan");
- Inflamatia tendoanelor (teno-sinovita reumatoida) antreneaza progresiv o necroza a acestora, sursa de rupturi.
Examenul clinic practicat de catre specialistul Chirurgiei Piciorului incearca sa raspunda la 3 intrebari esentiale:
1. Definirea dorintelor pacientului: se analizeaza functia membrului, pierderea functionala articulatie cu articulatie, dar mai ales jena din timpul activitatilor cotidiene;
2. Cunoasterea evolutivitatii maladiei: exista markeri specifici de evolutivitate, ce vor fi analizati in colaborare cu reumatologul;
3. Optimizarea tratamentului in vederea ameliorarii suferintei: se stie bine ca adesea nu poate fi propusa decat o chirurgie functional paleativa, simptomatica, si doar rareori una reconstructiva/curativa.
Deformatiile antepiciorului sunt de diferite tipuri:
- picior triunghiular;
- deviatie fibulara;
- deviatie tibiala;
- degete in “foc de iarba” (deviate in toate directiile).
Evolutia si factori prognostici
Evolutia si factorii prognostici:
- practic, puseele inflamatoare sunt responabile de aparitia si dezvoltarea unui “picior static de evolutie rapida”, cu toate caracteristicile acestuia, peste care se suprapun destructiile articulare caracteristice. Acest tip de picior se aseamana frapant cu cel din hallux valgus avansat si complicat, cu metatarsalgii secundare si grife digitale fixe;
- deformatiile se agraveaza datorita efectului greutatii corporale asupra leziunilor inflamatorii instabile, incaltaminte neadecvata, dezechilibru intre grupele musculare;
- evolutia poate fi mono-ciclica (pusee alternand cu perioade de remisiune), progresiva sau cel mai adesea poli-ciclica (pusee fara veritabile perioade de remisiune);
- evolutia unei poliartrite reumatoide debutante nu poate fi prevazuta;
- exista totusi factori predictionali negativi: numarul mare de articulatii implicate la debut, prezenta manifestarilor extra- rticulare, prezenta nodulilor reumatoizi, leziunile radiologice precoce, prezenta unui sindrom inflamator important biologic initial (CRP crescuta), factori reumatoizi prezenti initial si in concentratii ridicate, pozitivitatea anticorpilor anti-keratina, nivelul scazut socio-economic, prezenta unui anume teren genetic (HLA - DR - 0104, 0404, sau 0408).
Tratament
Tratament - principii
Este necesara ameliorarea durerilor pacientului care sufera, dar este indispensabila tratarea de fond a maladiei reumatoide, gandind la viitorul pacientului si avand ca obiectiv principal lupta impotriva handicapului functional precum si limitarea distrugerilor articulare. De aceea, paralel cu tratamentul simptomatic (antialgice, AINS, AS), este necesara instaurarea, cat mai precoce posibil, a unui tratament de fond. Alegerea acestui tratament se va face in functie de severitatea maladiei, de factorii prognostici initiali, de prezenta sau nu a eroziunilor osoase, de antecedentele pacientului, de eventualele contraindicatii, dar si de scoala de medicina sau de obisnuinta manipularii unui anume medicament.
Dintre tratamentele de fond clasice, unele sunt prescrise inca de la inceput, cu tendinta de a utiliza tratamente zise “agresive”, nu lipsite de efecte secundare potentiale, dar care au facut proba eficacitatii lor in termen de eroziune radiologica (cum este Methotrexat - ul).
Leflunomida
Este o molecula nou-aparuta, indicate in toate formele de PAR ale adultului si bazandu-se pe blocarea limfocitelor T activate. Are insa si efecte secundare deloc neglijabile: tulburari digestive, pierdere in greutate, caderea parului, hipertensiune arteriala, citoliza hepatica, toate acestea facand utilizarea delicate.
Tratamente imuno-modulatoare
Aparitia anticorpilor mono-clonali, tratamente imuno-modulatoare prin agenti biologici, a schimbat fundamental optica despre posibilitatile terapeutice in PAR. La baza utilizarii lor sta constatarea unui dezechilibru intre citokinele anti-inflamatoare si cele pro-inflamatoare (cum este TNFa) in favoarea TNFa, care este responsabil de fenomenele inflamatoare si destructive. Utilizarea infliximab-ului (anticorp moncoclonal anti-TNFa) sau a etanercept-ului (partea unui receptor solubil al TNFa) antreneaza o ameliorare clinica si biologica la 60% dintre pacienti, dar incetineste si distrugerea radiologica articulara. Trebuie amintit insa pretul ridicat al acestora, efectele secundare nedorite (infectioase sau tumorale), precum si absenta unor studii pe termen lung.
Tratamente alternative
Trebuie amintite si tratamente alternative cum sunt sinoviortezele (cu triamcinolon, acid osmic sau izotopice), cu rol atat simptomatic cat si limitativ asupra proliferarii sinoviale, ortezele pentru mana sau picior, incaltamintea ortopedica si kinetoterapia, care lupta impotriva amiotrofiei si a agravarii redorilor articulare.
Dat fiind impactul psihologic al acestei grele boli, invalidanta si uneori inestetica, sprijinul psihologului este util si deseori necesar.
Tratament chirurgical
Acesta are doar un rol curativ sau paleativ si in nici un caz unul profilactic, in masura sa impiedice evolutia distructiilor articulare.
Startegia de tratament chirurgical este esentiala:
- spre deosebire de un pacient cu o leziune degenerativa artrozica, aici este vorba despre un pacient cu o boala generala, poli-articulara, de evolutivitate variabila dar potentiala, fiind necesara definirea prioritatilor si fixarea unui planning operator;
- presupune o colaborare pluri-disciplinara chirurg - reumatolog - anestezis - psiholog;
- pe de o parte exista atingerea coloanei vertebrale si a membrelor superioare, pe de alta atingerea regionala a membrului inferior. Trebuie analizata atingerea concomitenta a retro-piciorului si a ante-piciorului. Finalmente trebuie tinut cont de o eventuala atingere poli-articulara;
- prima prioritate este de a nu neglija complicatiile pre si post-operatorii neurologice, mai ales existenta unei instabilitati rahidiene de tip C1 - C2, in perspectiva unei intubatii dintr-o anestezie generala;
- a doua prioritate este de a reda autonomia si de a permite mersul pacientilor adesea foarte handicapati; pentru aceea sunt privilegiate interventiile pe membrele inferioare, cu exceptia unei urgente functionale cum este ruptura tendinoasa la pumn;
- o data problema cervicala rezolvata, prioritare sunt membrele inferioare, prin leziunile cele mai distale; eventualele artroplastii suprajacente (sold, genunchi, glezna) vor fi astfel protejate de infectiile potentiale datorate leziunilor cutanate ale picioarelor;
- bine executata, interventie chirurgicala la nivelul piciorului este de obicei “castigatoare” atat functional cat si psihologic - reda speranta si increderea pacientului in tratamentul chirurgical;
- este prioritar antepiciorul sau retropiciorul? De obicei retropiciorul este asimptomatic, in ciuda atingerii radiologice;
- interventiile trebuie regrupate in scopul diminuarii numarului de anestezii si a duratei incapacitatii pacientilor multi-operati;
- chirurgia piciorului inflamator trebuie sa raspunda la 2 mari intrebari: "cand" trebuie operat si mai ales "cum"?
- exista o chirurgie “preventiva” sau este doar curativa/paleativa? Dar una cu adevarat “conservatoare” pentru articulatii??
- procedeele chirurgicale sunt multiple, neexistand un “gold - standard”; totul depinde de gradul de afectare articulara, de tipul de evolutie al poliartritei. Interventia trebuie gandita a fi “castigatoare” intr-o singura etapa, care sa excluda reinterventia sau mici interventii corectoare, uzuale in cazul piciorului de tip static (monturi);
- procedeele chirurgicale sunt aceleasi ca in cazul “monturilor” clasice, la care insa adaugam interventiile de tip Hoffman-Lelievre. Americanii recurg foarte des la amputatia antepiciorului ca solutie curativa radicala si relativ eficace;
- trebuie evitate interventiile mutilante articular de tip Keller sau Mayo (mutilarea articulatiei Mt-Ph 1), inca extrem de practicate in Romania (in 99% din cazuri). Acestea determina cel mai adesea deformatii majore, greu de tolerat: cook-up deformity, hallux-varus, scurtarea razei 1 etc.;
- chirurgia piciorului reumatoid, ca si cea a hallux valgus - ului nu este o mica chirurgie. Chiar daca abordurile sunt mini-invazive, este vorba despre o chirurgie extensiva, de tip global, ce necesita o specializare indelungata si o mare experienta in chirurgia deformatiilor de tip static ale piciorului;
- este foarte important mersul cu sprijin inca din prima zi, cu pastrarea autonomiei. Trebuie evitata cu desavarsire orice interventie ce presupune imobilizarea gipsata sau mersul cu sprijin in carje.
Criteriile de succes ale tratamentului chirurgical
1. Obtinerea unui picior armonios, usor de incaltat;
2. Obtinerea unei autonomii si a unui perimetru de mers rezonabil, in vederea unui status profesional rezonabil si, finalmente, cresterea calitatii vietii, caracterizata de faimosul indice QoL (Quality of Life);
3. Disparitia durerilor, mai ales a celor plantare (metatarsalgii);
4. Disparitia “bataturilor” (hiperkeratoze), semn al metatarsalgiilor si luxatiilor metatarso-falangiene;
5. Absenta durerilor si mai ales a recidivelor reprezinta criteriul 'de aur' in aceasta chirurgie. Dupa corectia deformatiilor piciorului pacientul se poate concentra pe celelalte articulatii.
Ai o propunere de completare sau neclarități?
In cazul in care articolul nu a acoperit in totalitate un anumit aspect care va intereseaza, va incurajam sa ne trimiteti sugestii pentru completare. Astfel, ne veti ajuta sa completam si sa imbunatatim continutul pentru toti cititorii.
Programează-te rapid la medicii recomandați de SfatulMedicului.ro prin serviciul de programări Clickmed
Găsești peste 7500 de medici cu program disponibil
Alege medicul potrivit pentru: Reumatologie , Recuperare medicala .
Articole recomandate
-
Monturile la picioare - de ce apar si cum se pot trata?
-
Reumatismul articular acut si poliartrita reumatoida
-
Artrita reumatoida
-
Artrita juvenila reumatoida
-
Inflamatia in artrita reumatoida
-
Cosuri cadou cu bauturi premium si delicii de calitate, cheia unui rasfat fa ...
-
Secrete culinare pentru pacientii cu poliartrita reumatoida
-
Afectiuni care se manifesta prin durere articulara


Mituri legate de poliartrita reumatoida
HALLUX-VALGUS (monturi)
Poliartrita reumatoida
Colagenul in curele de slabire: cum sustine pielea si articulatiile in timpu ...
Stres, anxietate, suprastimulare: ce functioneaza cu adevarat pentru sistem ...
Laserul si poliartrita reumatoida
Poliartrita reumatoida – simptome timpurii care trebuie sa iti dea de gandit
Protocol de practica in poliartrita reumatoida
Monturile la picioare - de ce apar si cum se pot trata?
Reumatismul articular acut si poliartrita reumatoida
Artrita reumatoida
Artrita juvenila reumatoida
Inflamatia in artrita reumatoida
Cosuri cadou cu bauturi premium si delicii de calitate, cheia unui rasfat fa ...
Secrete culinare pentru pacientii cu poliartrita reumatoida
Afectiuni care se manifesta prin durere articulara