Tu esti atent la retractiile gingivale?
Dr. Scrob Deniels - Medic specialist in reabilitari orale complexe la clinica Dentcof din Timisoara - ne atrage atentia asupra unor semnale des ignorate care pot duce la probleme stomatologice daca nu sunt adresate la timp.
Se vorbeste foarte mult despre dantura dar destul de putin despre tesuturile gingivale care au un rol esential in protejarea dintelui, a radacinii si in mentinerea unui echilibru biologic stabil pe termen lung.
Anumiti factori precum periajul agresiv, bruxismul (scrasnitul dintilor), fumatul, piercing-urile bucale sau chiar procesul natural de imbatranire pot duce la subtierea tesutului sau retragerea acestuia, afectiune ce se numeste retractie gingivala.
La copii sau adolescenti, un fren lingual sau bucal scurt (acea „piele” care leaga buza sau limba de gingie) poate exercita o tensiune asupra gingiei, determinand-o sa se retraga. Procesul de retractie gingivala poate fi lent sau accelerat si, in timp, duce la mai multe probleme:
• Radacina dintelui devine expusa si vulnerabila la carii
• Radacina expusa cauzeaza sensibilitatii dentare, uneori chiar severe
• Aspect inestetic – dintii par mai lungi
• Stabilitatea dintelui poate fi compromisa din cauza lipsei unui suport gingival adecvat
Cum ne dam seama ca exista recesiune gingivala?
Ideal, recesiunea este observata la timp in cadrul controalelor periodice la stomatolog, iar in stadii incipiente, se poate recomanda:
• Igienizare profesionala si monitorizare (daca retragerea este minora)
• Schimbarea tehnicii de periaj
• Frenectomie (daca frenul este cauza)
Daca vizitele la stomatolog nu sunt regulate, pacientul poate urmari acasa cateva semnale de alarma:
• Sensibilitate la cald sau rece
• Gingia pare subtire, translucida sau sangereaza usor
• Radacina dintelui devine vizibila
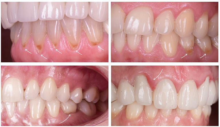
Iata cateva exemple vizuale de retractie gingivala:
.jpg)
Daca observi aceste semne, este esential sa te programezi pentru un consult pentru evaluarea severitatii retractiei si pentru a incepe tratamentul potrivit. Un tratament comun este cel de aplicare a unei grefe gingivale.
Ce trebuie sa stii despre grefa gingivala:
O grefa gingivala este o portiune de tesut recoltata dintr-o zona a cavitatii bucale – de obicei din palat (cerul gurii) – si transplantata intr-o zona afectata, cu scopul de a reconstrui sau intari gingia.
Articole recomandate
-
Retractia gingivala
-
Modificari dento-gingivale si tratamente stomatologice in sarcina
-
Importanta controalelor periodice la stomatolog
-
Sanatatea respiratorie in sezonul rece: rolul farmacistului
-
Stres, anxietate, suprastimulare: ce functioneaza cu adevarat pentru sistem ...
-
Controlul dentar de specialitate la 6 luni si igienizarea dentara profesiona ...
-
Riscurile asociate sangerarilor gingivale
-
Semnele care ne arata o afectiune parodontala
In tratamentul recesiunii, grefa gingivala aduce multiple beneficii si poate preveni complicatii serioase pe termen lung.
Grefa este des intalnita si in tratamentele cu implant dentar, pentru a compensa pierderea de volum, pentru a oferi o protectie suplimentara, pentru a obtine o armonie estetica si pentru a stabiliza si mai mult implantul pe termen lung.
Procedura este simpla si precisa. Se realizeaza cu instrumente fine (utilizate si in chirurgia oftalmologica), sub anestezie locala sau sedare, fiind nedureroasa. Recuperarea nu necesita concediu medical sau repaus prelungit.
Dupa interventie (care dureaza in medie 45–60 de minute), se recomanda:
• Evitarea efortului fizic intens in primele zile (pentru a preveni sangerarea)
• Renuntarea temporara la fumat
• Consumul de alimente moi, la temperatura moderata (nici fierbinti, nici reci)
• Urmarea indicatiilor specifice de la medic pentru o vindecare optima si rapida
Este adevarat ca poate aparea un disconfort in zona interventiei, dar acesta este bine controlat cu antiinflamatoare si trece rapid.
Afla mai multe despre tratamentele dentare optime aici: https://www.dentcof.ro/
Opiniile exprimate in acest material apartin partenerului nostru. Aceste opinii pot sa nu reprezinte pozitia SfatulMedicului.ro si nici sugestie de achizitie. Va sfatuim ca pentru orice problema medicala, sa consultati intotdeauna un medic, inainte de a incepe sau a schimba un plan de tratament.
Articole recomandate
-
Probleme stomatologice la copii
-
Metode de oprire a sangerarilor gingivale
-
Sensibilitatea dentara la frig: cauze si solutii eficiente
-
Cum te poate ajuta Parodontax la oprirea sangerarilor gingivale?
-
Cauzele sangerarilor gingivale
-
Cosuri cadou cu bauturi premium si delicii de calitate, cheia unui rasfat fa ...
-
Cum influenteaza sanatatea orala imunitatea organismului
-
Periajul dentar de doua ori pe zi vs periajul dentar o data pe zi


Retractia gingivala
Modificari dento-gingivale si tratamente stomatologice in sarcina
Importanta controalelor periodice la stomatolog
Sanatatea respiratorie in sezonul rece: rolul farmacistului
Stres, anxietate, suprastimulare: ce functioneaza cu adevarat pentru sistem ...
Controlul dentar de specialitate la 6 luni si igienizarea dentara profesiona ...
Riscurile asociate sangerarilor gingivale
Semnele care ne arata o afectiune parodontala
Probleme stomatologice la copii
Metode de oprire a sangerarilor gingivale
Sensibilitatea dentara la frig: cauze si solutii eficiente
Cum te poate ajuta Parodontax la oprirea sangerarilor gingivale?
Cauzele sangerarilor gingivale
Cosuri cadou cu bauturi premium si delicii de calitate, cheia unui rasfat fa ...
Cum influenteaza sanatatea orala imunitatea organismului
Periajul dentar de doua ori pe zi vs periajul dentar o data pe zi