Infectiile cu Cyclospora - cauze, simptome si prevenire
Generalitati
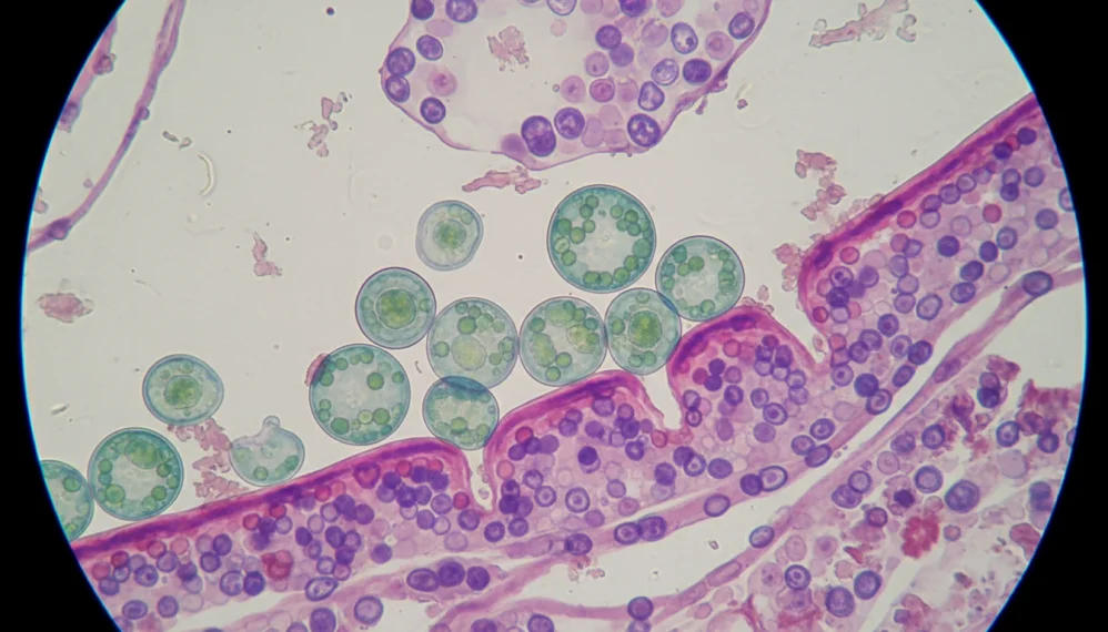
Infectiile cu parazitul unicelular Cyclospora cayetanensis produc episoade violente de diaree apoasa si apar in urma consumului de alimente proaspete contaminate.
Aceste microorganisme rudimentare sunt raspandite in regiunile tropicale, cu clima umeda si calda.
Parazitul Cyclospora are doua stadii vitale, unul in care este un organism activ si unul in care se afla in stare latenta, de oochist. Atunci cand oamenii ingereaza oochistul parazitului, Cyclospora devine activ in organism, provocand simptome gastrointestinale deranjante.
Un control medical de specialitate si administrarea de antibiotice specifice ajuta la vindecarea rapida si eficienta a infectiilor provocate de parazitul Cyclospora.
Cauze
Cauza infectiilor cu Cyclospora este consumul de alimente si lichide contaminate cu parazitul. Modul exact de transmitere este inca un mister pentru lumea medicala. Se cunoaste faptul ca o persoana infectata poate imbolnavi o persoana sanatoasa, daca aceasta din urma intra in contact cu materiile fecale ale bolnavului.
Cu toate acestea, spre deosebire de alti paraziti transmisi pe cale alimentara, Cyclospora nu devine infectioasa decat dupa mai multe zile de cand a ajuns in fecalele gazdei deja infectate. Prin urmare, sansele de a contacta parazitul Cyclospora de la o persoana bolnava (precum angajatul unui restaurant care nu s-a spalat pe maini dupa utilizarea closetului) sunt aproape inexistente.
Fermierii se pot imbolnavi manevrand culturile de fructe si legume pe camp si nerespectand norme elementare de igiena.
Inainte de anul 1996, s-au inregistrat cazuri sporadice de infectii cu Cyclospora in randul persoanelor care au calatorit in tari aflate in curs de dezvoltare sau care sufereau de boli cronice, precum HIV/SIDA.
Programează-te rapid la medicii recomandați de SfatulMedicului.ro prin serviciul de programări Clickmed
Găsești peste 7500 de medici cu program disponibil
Alege medicul potrivit pentru: Infectioase .
Dupa anul 1995, au inceput sa apara imbolnaviri din pricina consumului de fructe si legume importate din tari cu clima calda, precum salata verde, busuiocul proaspat sau fructele de padure.
Factori de risc
In general, infectiile gastrointestinale apar la copii si varstnici. In cazul contaminarilor cu Cyclospora, grupul de risc are varsta medie de 44 de ani. Femeile sunt mai susceptibile imbolnavirii decat barbatii, deoarece consuma mai des alimentele pe suprafata carora traiesc parazitii Cyclospora.
Simptome
Unele persoane infectate cu parazitul Cyclospora nu prezinta semne sau simptome, pe cand altele au manifestari clinice dupa 2-11 zile de la consumul hranei sau a apei contaminate. Acestea pot fi:
- diareea apoasa
- eliminarile violente ale materiei fecale
- episoadele de diaree care alterneaza cu cele de constipatie
- pierderea apetitului alimentar
- scaderea brusca in greutate
- balonarea
- flatulenta
- regurgitarea
- crampele stomacale
- greata
- varsaturile
- durerile musculare
- febra moderata
- starile de oboseala
- starile de rau generalizate
Articole recomandate
-
Prevenirea si tratarea infectiei cu Cyclospora
-
Cele mai frecvente infectii parazitare
-
Parazitii intestinali - preventie si remedii
-
La ce varsta ar trebui sa incepi preventia ridurilor? Raspunsul dermatologil ...
-
Colagenul in curele de slabire: cum sustine pielea si articulatiile in timpu ...
-
Febra Q: cauze, simptome, tratament
-
Viermii si parazitii intestinali
-
Bolile parazitare: cauze, simptome, tratament
Diareea poate sa dispara de la sine in cateva zile sau poate deveni cronica, atunci cand persista saptamani la randul. Persoanele cu un sistem imunitar slabit pot fi afectate de simptomele infectiei luni intregi, pana la vindecare.
Diareea prelungita poate sa cauzeze deshidratarea, motiv pentru care anumite categorii de persoane vor avea nevoie de spitalizare, pentru administrarea intravenoasa a lichidelor. Din sectorul de risc fac parte:
- persoanele cu sistem imunitar slabit
- bebelusii si copiii
- persoanele varstnice
Diagnostic
Infectia cu Cyclospora este deseori dificil de diagnosticat, intrucat infectia este deja prezenta in organism cu 2-14 zile inainte de debutul simptomatologiei. Diareea este un simptom al multor afectiuni, asadar nu ajuta la identificarea rapida a cauzei.
Medicul va adresa o serie de intrebari despre evolutia si manifestarea bolii, menite sa ajunga mai aproape de diagnostic. Acestea pot fi
- Cand a debutat boala?
- Simptomele sunt persistente sau apar si dispar periodic?
- Cat de frecvente sunt episoadele de varsaturi si diaree?
- Ati observat in voma sau diaree urme de sange, mucus sau bila?
- Ati dezvoltat febra?
- Ati luat masuri care sa va amelioreze simptomele? Au functionat unele dintre ele?
- Exista anumite lucruri care par sa va agraveze simptomele? Care sunt acestea?
Parazitii de Cyclospora nu sunt prezenti in numar mare la nivelul materiilor fecale, de aceea medicii sunt nevoiti sa concentreze mostrele inainte de a le trimite la laborator pentru analize. Aici, specialistii utilizeaza culturi izolate ale specimenului, pentru a stabili daca este sau nu vorba despre o infectie cu acest parazit unicelular.
Tratament
Tratamentul pentru infectiile cu cyclospora presupune o asociere de antibiotice numita trimetoprim-sulfametoxazol si se administreaza pe o durata de 7-10 zile, necesara ameliorarii simptomelor. Persoanele infectate care nu pot fi tratate cu sulfametoxazol pot obtine rezultate cu ajutorul ciprofloxacinei sau al nitazoxanidei.
De asemenea, consumul abundent de lichide ajuta la tratarea accelarata a infectiei cu Cyclospora. Se recomanda evitarea bauturilor care contin cofeina (cafea, ceai, sucuri acidulate etc), care irita sistemul intestinal, agraveaza diareea si contribuie la deshidratare.
Medicii nu prescriu antidiareice, intrucat aceste medicamente pot interfera cu eforturile organismului de a elimina parazitul.
Prevenire
Atunci cand calatoriti in tari aflate in curs de dezvoltare, verificati cu mare atentie sursa alimentelor si a apei. Daca obisnuiti sa cumparati fructe si legume de import, spalati-le foarte bine sub jet de apa inainte de consum, inclusiv pe cele pe care le decojiti.
Uscarea fructelor si a legumelor care ar putea fi purtatoarele parazitului Cyclospora prin tamponarea cu un servet de hartie este utila in eliminarea reziduurilor care ar putea ramane pe suprafata alimentelor dupa spalare (oochisturile de Cyclospora se pot atasa foarte bine de coaja fructelor si a legumelor, deci sunt inlaturate uneori incomplet de simplul jet de apa).
Congelarea fructelor si a legumelor elimina riscul contaminarii, intrucat parazitul nu supravietuieste in conditii de temperaturi foarte scazute.
Ai o propunere de completare sau neclarități?
In cazul in care articolul nu a acoperit in totalitate un anumit aspect care va intereseaza, va incurajam sa ne trimiteti sugestii pentru completare. Astfel, ne veti ajuta sa completam si sa imbunatatim continutul pentru toti cititorii.
Programează-te rapid la medicii recomandați de SfatulMedicului.ro prin serviciul de programări Clickmed
Găsești peste 7500 de medici cu program disponibil
Alege medicul potrivit pentru: Infectioase .
Articole recomandate
-
Boli cauzate de deshidratare
-
Diaree – semne si alimentatie corespunzatoare
-
Simptome ale bolilor parazitare sau cum se manifesta infectiile cu paraziti
-
Remedii naturale impotriva parazitilor intestinali
-
Gastroenterita - o problema de sanatate mereu actuala
-
Stres, anxietate, suprastimulare: ce functioneaza cu adevarat pentru sistem ...
-
Febra la copii - semnal de alarma?
-
Hepatita A simptome, tratament si prevenire


Prevenirea si tratarea infectiei cu Cyclospora
Cele mai frecvente infectii parazitare
Parazitii intestinali - preventie si remedii
La ce varsta ar trebui sa incepi preventia ridurilor? Raspunsul dermatologil ...
Colagenul in curele de slabire: cum sustine pielea si articulatiile in timpu ...
Febra Q: cauze, simptome, tratament
Viermii si parazitii intestinali
Bolile parazitare: cauze, simptome, tratament
Boli cauzate de deshidratare
Diaree – semne si alimentatie corespunzatoare
Simptome ale bolilor parazitare sau cum se manifesta infectiile cu paraziti
Remedii naturale impotriva parazitilor intestinali
Gastroenterita - o problema de sanatate mereu actuala
Stres, anxietate, suprastimulare: ce functioneaza cu adevarat pentru sistem ...
Febra la copii - semnal de alarma?
Hepatita A simptome, tratament si prevenire