Leucemia mieloida acuta la adulti
Generalitati
Leucemia mieloida acuta la adulti este un tip de cancer in care maduva osoasa produce mieloblasti anormali (mieloblasti un stadiu in dezvoltarea celulelor albe), celule rosii sau trombocite anormale.
Leucemia mieloida acuta este un tip de cancer al sangelui si al maduvei osoase. Acest tip de cancer se agraveaza rapid daca nu este tratat. Este cel mai obisnuit tip de leucemie la adulti.
Leucemia mieloida acuta mai este numita leucemia mielogena, leucemia mieloblastica acuta, leucemia granulocitara acuta si leucemia nonlimfocitara acuta.
Mecanism fiziopatogenetic
In mod normal, maduva osoasa produce celule stem (celule imature) care se vor transforma in celule sangvine mature. Exista 3 tipuri de celule sangvine mature:
- celulele rosii (hematii), care transporta oxigen si alte substante nutritive la alte tesuturi ale organismului
- celulele albe (leucocite), care lupta impotriva infectiilor si a altor boli
- trombocitele, care ajuta la prevenirea sangerarilor prin initirea coagularii.
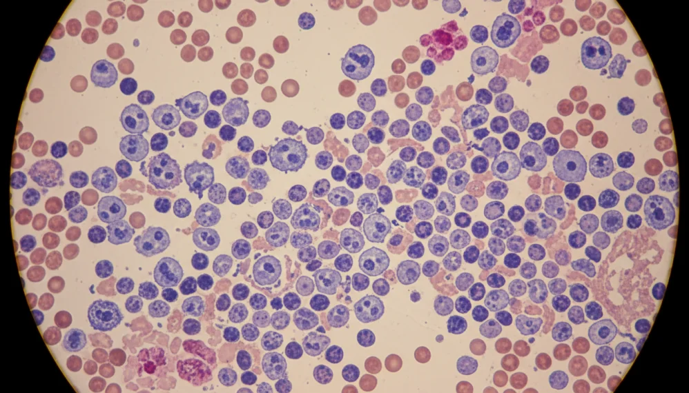
In leucemia mieloida acuta, celulele stem se transforma in celule albe imature numite mieloblasti (sau blasti mieloizi). Acesti mieloblasti sunt anormali si nu se transforma in celule albe mature normale. Uneori in leucemia mieloida acuta, foarte multe celule stem se transforma in celule rosii sau trombocite anormale. Aceste leucocite, hematii sau trombocite anormale mai sunt numite celule leucemoide sau blasti leucemoizi. Celulele leucemoide sunt incapabile sa-si efectueze rolul lor normal si se pot acumula in maduva osoasa si in curentul sanguin astfel incat este mai putin loc pentru celule albe, celule rosii sau trombocite sanatoase. In aceste cazuri, pot sa apara infectii, anemii sau sangerari. Celulele leucemoide se pot raspandi in afara curentului sanguin in alte parti ale corpului, inclusiv la nivelul sistemului nervos central (creier si maduva spinarii), pielii si mucoaselor.
Exista mai multe subtipuri de leucemie mieloida acuta, acestea bazandu-se pe gradul de maturitate al celulelor canceroase la momentul diagnosticului si pe gradul de diferentiere fata de celulele normale. Fumatul, chimioterapia anterioara si expunerea de radiatii pot influenta riscul de aparitie al leucemiei mieloide acute la adulti.
Factori de risc
Programează-te rapid la medicii recomandați de SfatulMedicului.ro prin serviciul de programări Clickmed
Găsești peste 7500 de medici cu program disponibil
Alege medicul potrivit pentru: Oncologie , Hematologie .
Factorii de risc posibili pentru leucemia mieloida acuta sunt:
- sexul masculin
- fumatul, in special dupa 60 de ani
- chimioterapie sau radioterapie anterioara
- tratament pentru leucemie limfoblastica acuta in copilarie
- expunerea la radiatii atomice sau benzen
- istoric de afectiuni sanguine cum ar fi sindromul mielodisplazic.
Simptome
Semnele posibile de leucemie mieloida acuta includ febra, astenia si sangerarile sau contuziile aparute la traumatisme minime. Semnele precoce ale leucemiei mieloide acute pot fi asemanatoare celor determinate de gripa sau alte boli obisnuite.
Medicul trebuie consultat daca apare oricare din urmatoarele simptome:
- febra
- scurtarea respiratiei
- sangerari sau contuzii aparute la traumatisme minime
- petesii (pete punctiforme, plate localizate sub piele, determinate de sangerari)
- astenie
- pierderea poftei de mancare sau scaderea in greutate.
Investigatii
Sunt folosite teste ce examineaza sangele si maduva osoasa pentru detectarea si diagnosticul leucemiei mieloide acute la adulti:
- examen fizic si anamneza: un examen fizic este necesar pentru a verifica semnele generale de sanatate, inclusiv pentru semnele de boala, cum ar fi ganglioni mariti sau orice alt semn neobisnuit; va fi urmarit istoricul bolilor, tratamentelor anterioare si al obiceiurilor pacientului
- numaratoare de celule sanguine: este prelevata o mostra de sange pentru a verifica:
- numarul de celule rosii, celule albe, trombocite
- cantitatea hemoglobinei (proteina care transporta oxigenul) din celulele rosii
- procentul de celule rosii din mostra de sange
- studii biochimice: o mostra de sange este prelevata pentru a masura cantitatile din anumite substante eliberate in sange de catre organe si tesuturi; o cantitate neobisnuita (mai mare sau mai mica decat normalul) dintr-o substanta poate fi un semn al afectiunii organului sau tesutului care o produce
- frotiu de sange periferic: o mostra de sange este analizata pentru eventuala prezenta a celulelor blastice, numarul si tipul celulelor albe, numarul trombocitelor si modificarile formei celulelor sanguine
- aspiratie si biopsie de maduva osoasa: prelevarea unei portiuni mici de os si maduva osoasa cu ajutorul unui ac de la nivelul sternului sau crestei iliace; medicul anatomopatolog analizeaza mostra la microscop pentru a verifica prezenta celulelor anormale
- analiza citogenetica: este folosita pentru identificarea celulelor si se bazeaza pe tipurile de antigene sau markeri de la nivelul suprafetei celulelor. Procedura este folosita pentru diagnosticul subtipului de leucemie mieloida acuta, comparand celulele canceroase cu cele normale ale sistemului imun.
Stadializare
Articole recomandate
-
Leucemia mieloida acuta la copii si alte malignitati mieloide
-
Leucemia la copii
-
Leucemia
-
Dinti ficsi pe implanturi, reabilitarea completa pe care o puteti face. Ce p ...
-
Reabilitarea completa a danturii pe implanturi: ce presupun procedurile All- ...
-
Semne mai putin cunoscute ale leucemiei
-
Dr. Vladislav Brasoveanu si Dr. Dragos Romanesc
-
Leucemia limfoida acuta
Odata diagnosticata leucemia mieloida acuta, se efectueaza teste pentru a verifica daca celulele canceroase s-au extins in alte parti ale corpului. Gradul de extindere al cancerului este descris in stadii. In leucemia mieloida acuta la adult, tratamentul se face in functie de subtipul leucemiei si gradul de extindere la alte tesuturi in afara sangelui sau maduvei spinarii.
Se efectueaza urmatoarele teste pentru a determina daca leucemia s-a raspandit in organism:
- radiografie cardiopulmonara - o radiografie a organelor si oaselor de la nivelul toracelui; se foloseste o unda de energie care trece prin organism si se efectueaza o imagine a organelor pe un film
- punctie lombara – o procedura prin care se preleveaza lichid cefalorahidian de la nivelul coloanei vertebrale cu ajutorul unui ac
- ecografie – o procedura prin care sunete de energie inalta (ultrasunete) sunt transmise in organism, lovindu-se de tesuturile si organele interne din abdomen si determina aparitia unor ecouri; ecourile formeaza o imagine a organelor numita sonograma.
Nu exista o stadializare standard a leucemiei mieloide acute la adulti. Boala este descrisa ca fiind netratata, in remisiune sau recurenta.
Leucemia mieloida acuta netratata
In leucemia mieloida acuta netratata, boala este nou diagnosticata. Nu a fost tratata decat pentru ameliorarea simptomelor cum ar fi febra, sangerarea sau durerea si sunt adevarate urmatoarele:
- numaratoarea de celule sanguine este anormala
- cel putin 20% din celulele de la nivelul maduvei spinarii sunt blasti (celule leucemoide)
- exista semne sau simptome de leucemie.
Leucemia mieloida acuta in remisiune
In leucemia mieloida acuta aflata in remisiune, boala a fost tratata si sunt adevarate urmatoarele:
- numaratoarea de celule sanguine este normala
- mai putin de 5% din celulele de la nivelul maduvei osoase sunt blasti (celule leucemoide)
- nu sunt semne sau simptome de leucemie la nivel cerebral, al maduvei spinarii sau in alta parte a corpului.
Leucemia mieloida acuta recurenta
Leucemia mieloida acuta recurenta este tipul de cancer care a reaparut dupa tratament, la nivelul sangelui sau al maduvei osoase.
Factori care influenteaza prognosticul si tratamentul
Unii factori afecteaza prognosticul (sansa de vindecare) si optiunile de tratament. Prognosticul si optiunile de tratament depind de:
- varsta pacientului
- subtipul leucemiei mieloide acute
- chimioterapie anterioara pentru tratamentul unui alt tip de cancer
- antecedente de afectiuni sanguine cum ar fi sindromul mielodisplazic
- afectarea sistemului nervos central.
Este important ca leucemia mieloida acuta sa fie tratata in mod corespunzator.
Factori care afecteaza prognosticul
Unii factori afecteaza prognosticul (sansa de vindecare) si optiunile de tratament. Prognosticul si optiunile de tratament depind de:
- varsta pacientului
- subtipul leucemiei mieloide acute
- chimioterapie anterioara pentru tratamentul unui alt tip de cancer
- antecedente de afectiuni sanguine cum ar fi sindromul mielodisplazic
- afectarea sistemului nervos central.
Este important ca leucemia mieloida acuta sa fie tratata in mod corespunzator.
Tratament - generalitati
Sunt disponibile diferite tipuri de tratamente pentru pacientii cu leucemie mieloida acuta. Unele tratamente sunt standard (folosite in mod curent) si unele sunt testate in trialuri clinice. Inaintea inceperii tratamentului, pacientii au posibilitatea de a participa la trialuri clinice. Un trial clinic reprezinta un studiu efectuat pentru a ajuta la imbunatatirea tratamentelor actuale sau pentru a obtine informatii despre un tratament nou la pacientii cu leucemie. Cand un trial clinic demonstreaza ca un tratament nou este mai eficient decat tratamentul standard, tratamentul nou va deveni tratamentul standard.
Tratamentul leucemiei mieloide acute la adulti are de obicei doua faze:
- terapia de inducere a remisiunii – aceasta este prima faza a remisiunii; scopul este de a ucide celulele leucemoide din curentul sanguin si de la nivelul maduvei spinarii; acest lucru induce remisiunea leucemiei
- terapia de intretinere – aceasta este a doua faza a tratamentului si incepe dupa ce leucemia este in remisiune; scopul tratamentului de intretinere este de a ucide celulele leucemoide ramase care pot sa nu fie active dar care pot sa se dezvolte si sa determine o recadere; aceasta faza mai este numita terapia de continuare a remisiunii.
Tratament standard
Exista patru tipuri de tratament standard:
Chimioterapia
Chimioterapia este tratamentul care foloseste medicamentele pentru a opri cresterea celulelor canceroase, fie omorand aceste celule, fie impiedicand diviziunea celulelor. Cand chimioterapia este administrata oral sau injectabil intravenos sau intramuscular, substantele patrund in curentul sanguin si ajung astfel la nivelul celulelor canceroase (chimioterapie sistemica). Cand chimioterapicele sunt plasate in coloana vertebrala (chimioterapie intratecala), intr-un organ sau o cavitate a organismului cum ar fi abdomenul, medicamentele afecteaza celulele canceroase de la acel nivel (chimioterapie regionala). Chimioterapia intratecala poate fi aplicata pentru tratamentul leucemiei mieloide acute care se poate extinde sau s-a extins deja la nivelul creierului sau a maduvei spinarii. Chimioterapia combinata este tratamentul care foloseste mai mult de o substanta anticanceroasa. Tipul de chimioterapie care este folosit depinde de subtipul cancerului si de gradul de extindere la nivelul creierului sau maduvei spinarii
Radioterapia
Radioterapia este tratamentul anticanceros care foloseste raze X de inalta energie sau alte tipuri de radiatii pentru a omora celulele canceroase. Exista doua genuri de radioterapie. Radiatia externa foloseste un aparat extern pentru a trimite radiatii catre tesutul canceros din organism. Radiatia interna foloseste substante radioactive sigilate in ace, seminte sau catetere, care sunt asezate direct la nivelul sau langa tesutul canceros. Tipul de radioterapie care va fi folosit depinde de tipul sau stadiul cancerului
Transplantul de celule stem
Transplantul de celule stem este metoda prin care se face chimioterapie initiala si apoi inlocuirea celulelor din care se dezvolta celulele sanguine care sunt anormale sau distruse de tratamentul anticanceros. Celulele stem (celule sanguine imature) sunt prelevate din curentul sanguin sau de la nivelul maduvei osoase de la pacient sau de la un donator, sunt congelate si conservate. Dupa ce chimioterapia este completa, celulele stem conservate sunt dezghetate si redistribuite pacientului. Aceste celule stem se dezvolta si refac celulele sanguine.
Alte terapii medicamentoase
Trioxidul de arseniu si acidul trans retinoic (ATRA) sunt medicamentele anticanceroase care ucid celulele leucemice, opresc diviziunea celulelor canceroase sau ajuta la transformarea celulelor leucemice mature in celule celule albe sanguine. Aceste medicamente sunt folosite la tratamentul leucemiei promielocitare acute.
Alte tratamente
Alte tipuri de tratamente sunt testate in trialuri clinice. Printre acestea se numara si terapia biologica.
Terapia biologica este tratamentul care foloseste sistemul imunitar al pacientului pentru a lupta impotriva cancerului. Substantele produse in organism sau in laborator sunt folosite pentru a intensifica sistemul natural de aparare impotriva cancerului. Acest tratament mai este numit bioterapie sau imunoterapie. Un tratament biologic este terapia cu anticorpi monoclonali, care foloseste anticorpi produsi in laborator dintr-un singur tip de celule ale sistemului imun. Acesti anticorpi pot identifica substantele de pe celulele canceroase sau substantele normale care ajuta la dezvoltarea celulelor canceroase. Anticorpii se ataseaza la aceste substante si omoara sau blocheaza cresterea celulelor canceroase. Anticorpii monoclonali sunt administrati prin perfuzie. Ei pot fi administrati singuri sau impreuna cu medicamente, toxine sau substante radioactive pentru a omora celulele canceroase.
Optiuni terapeutice
Leucemia mieloida acuta netrata la adulti
Tratamentul standard pentru leucemia mieloida acuta netratata in timpul fazei de inductie a remisiunii depinde de subtipul leucemiei si poate sa includa urmatoarele:
- chimioterapia combinata
- doza mare de chimioterapie combinata
- transplant de celule stem de la un donator
- acid trans-retinoic (ATRA) plus chimioterapie
- chimioterapie intratecala.
Leucemia mieloida acuta aflata in remisiune
Tratamentul standard al leucemiei mieloide acute in timpul fazei de remisiune depinde de subtipul leucemiei si poate sa includa urmatoarele:
- chimioterapie combinata
- doza mare de chimioterapie cu sau fara radioterapie, si transplant de celule stem folosind celulele stem ale pacientului
- doza mare de chimioterapie si transplant de celule stem de la un donator.
Leucemia mieloida acuta recurenta
Tratamentul standard al leucemiei mieloide acute recurente depinde de subtipul leucemiei si include:
- chimioterapie combinata
- terapie biologica cu anticorpi monoclonali- transplant de celule stem
- radioterapie in doze mici ca tratament paliativ pentru ameliorarea simptomelor si a imbunatatii calitatea vietii
- terapia cu trioxid de arseniu.
Ai o propunere de completare sau neclarități?
In cazul in care articolul nu a acoperit in totalitate un anumit aspect care va intereseaza, va incurajam sa ne trimiteti sugestii pentru completare. Astfel, ne veti ajuta sa completam si sa imbunatatim continutul pentru toti cititorii.
Programează-te rapid la medicii recomandați de SfatulMedicului.ro prin serviciul de programări Clickmed
Găsești peste 7500 de medici cu program disponibil
Alege medicul potrivit pentru: Oncologie , Hematologie .
Articole recomandate
-
Leucemia - generalitati
-
Leucemia mielomonocitara juvenila: o boala rara cu impact semnificativ asupr ...
-
Leucemia limfatica cronica
-
Sindromul Li-Fraumeni si riscul de cancer
-
Leucemia cu celule paroase
-
12 lucruri pe care trebuie sa le stii despre procedura TAVI pentru stenoza a ...
-
Tipuri de cancer tratate prin transplantul alogen de celule stem
-
Tulburarile mieloproliferative cronice


Leucemia mieloida acuta la copii si alte malignitati mieloide
Leucemia la copii
Leucemia
Dinti ficsi pe implanturi, reabilitarea completa pe care o puteti face. Ce p ...
Reabilitarea completa a danturii pe implanturi: ce presupun procedurile All- ...
Semne mai putin cunoscute ale leucemiei
Leucemia limfoida acuta
Leucemia - generalitati
Leucemia mielomonocitara juvenila: o boala rara cu impact semnificativ asupr ...
Leucemia limfatica cronica
Sindromul Li-Fraumeni si riscul de cancer
Leucemia cu celule paroase
12 lucruri pe care trebuie sa le stii despre procedura TAVI pentru stenoza a ...
Tipuri de cancer tratate prin transplantul alogen de celule stem
Tulburarile mieloproliferative cronice