Leucemia - generalitati
Generalitati
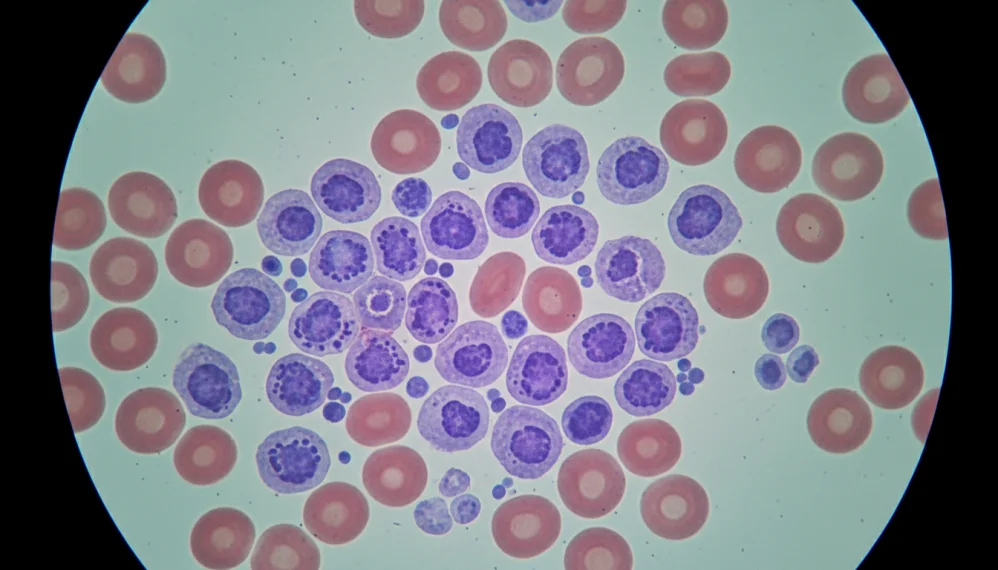
Leucemia e o maladie ce afecteaza productia de leucocite (globule albe), determinand reproducerea lor incontrolabila, in detrimentul celulelor sanatoase.
Aceste leucocite anormale suprapopuleaza maduva osoasa hematogena, deseori fiind celule imature, nefunctionale, sub forma de blasti (celule imature), care se deverseaza mai apoi in torentul sangvin.
Termenul de leucemie, care deriva din greaca, inseamna "sange alb". Maduva osoasa este lezata sever si devine incapabila sa pastreze o productie suficienta de hematii si trombocite.
In acelasi timp, productia de globule albe devine atat de rapida, incat aceste celule nu ating nivelul de maturitate necesar pentru a-si indeplini rolul de lupta impotriva infectiei.
Celulele leucemice se infiltreaza in toate organele importante ale corpului, cateodata cauzand proasta functionare sau insuficienta organului respectiv. Rinichii pot fi afectati, ficatul si splina se pot mari in dimensiuni (hepatosplenomegalie).
In mod normal, splina actioneaza ca un filtru pentru sange, eliminand eritrocitele si trombocitele imbatranite.
Cand splina se mareste, aceasta functie devine exagerata, eliminand hematii si trombocite sanatoase, reducand si mai mult numarul acestor elemente figurate ale sangelui.
Pe masura ce leucemia progreseaza, intregul torent sangvin poate fi invadat cu celule leucemice imature. Daca boala este netratata, o persoana cu leucemie devine foarte susceptibila la oboseala, sangerare in exces si infectii, pana cand, in final, organismul ramane practic fara aparare, fiecare traumatism minor sau infectie devenind severa.
Leucemia poate fi fatala. Cauzele mortii pot fi sangerarile interne datorita numarului scazut de trombocite sau, mai frecvent, datorita infectiilor datorate unui virus sau unei bacterii care, in mod normal ar fi putut fi eliminate de globulele albe sanatoase.
Evolutia si rapiditatea acesteia variaza in functie de tipul leucemiei si varstei globulelor albe afectate initial.
Cauze si factori de risc
Cauza leucemiei in majoritatea cazurilor e necunoscuta. Unele par sa aiba o cauza genetica. Altele pot fi corelate cu expunerea la toxine, chimicale sau medicamente, sau la radiatii.
Simptome
Pacientii se pot prezenta cu:
- fatigabilitate;
- febra si infectii recurente;
- scadere ponderala;
- transpiratii nocturne;
- sangerari.
Diagnostic
Desi diagnosticul se pune pe baza antecedentelor personale si al examenului clinic, leucemia poate fi descoperita accidental prin teste de sange sau radiografii pentru alte indicatii.
Medicul poate recomanda ulterior o biopsie de maduva osoasa.
Tratament
Leucemia se tratateaza mai ales prin chimioterapie, desi radioterapia si terapia biologica pot avea un rol important in unele forme de boala. Transplantul de maduva osoasa poate fi recomandat pentru unele tipuri de leucemie, incluzand leucemia acuta si leucemia mieloida cronica. Scopurile terapiei sunt ameliorarea simptomelor si obtinerea remisiei. Remisiunea este conditia in care leucemia nu mai este detectata si maduva osoasa functioneaza normal.
Tratamentul este, in general, impartit in 2 etape:
Inductia - Este incercarea de a obtine remisiunea, astfel incat maduva osoasa sa para normala.
Consolidarea - Implica administrarea aceluiasi tratament sau unui tratament diferit, chiar si cand pacientul pare a fi in remisie, datorita suspectarii prezentei afectiunii reziduale care nu poate fi detectata.
Unii pacenti pot primi o a treia faza de tratament, numita tratament de intretinere, care prelungeste remisia. Tratamentul de mentinere este mai mult asociat cu leucemia acuta limfoblastica (ALL) sau leucemia acuta mieloida (AML).
Ai o propunere de completare sau neclarități?
In cazul in care articolul nu a acoperit in totalitate un anumit aspect care va intereseaza, va incurajam sa ne trimiteti sugestii pentru completare. Astfel, ne veti ajuta sa completam si sa imbunatatim continutul pentru toti cititorii.
Programează-te rapid la medicii recomandați de SfatulMedicului.ro prin serviciul de programări Clickmed
Găsești peste 7500 de medici cu program disponibil
Alege medicul potrivit pentru: Oncologie , Hematologie .
Articole recomandate
-
Leucocitoza sau numarul crescut de globule albe
-
Leucemia la copii
-
Leucemia - simptome si tratament
-
Dupa operatiile cardiace sau episoadele post-acute, incepe adevarata lupta: ...
-
Colagenul in curele de slabire: cum sustine pielea si articulatiile in timpu ...
-
Leucemia limfatica cronica
-
Campania de preventie a bolilor tiroidiene
-
Semne mai putin cunoscute ale leucemiei
-
Leucemia mieloida acuta la adulti
-
Leucemia limfoida acuta
-
Leucemia mielomonocitara juvenila: o boala rara cu impact semnificativ asupr ...
-
Leucemia cu celule paroase
-
Leucemia mieloida acuta la copii si alte malignitati mieloide
-
Stres, anxietate, suprastimulare: ce functioneaza cu adevarat pentru sistem ...
-
Afectiunile leucocitare la copii
-
Lupusul eritematos sistemic - generalitati


Leucocitoza sau numarul crescut de globule albe
Leucemia la copii
Leucemia - simptome si tratament
Dupa operatiile cardiace sau episoadele post-acute, incepe adevarata lupta: ...
Colagenul in curele de slabire: cum sustine pielea si articulatiile in timpu ...
Leucemia limfatica cronica
Semne mai putin cunoscute ale leucemiei
Leucemia mieloida acuta la adulti
Leucemia limfoida acuta
Leucemia mielomonocitara juvenila: o boala rara cu impact semnificativ asupr ...
Leucemia cu celule paroase
Leucemia mieloida acuta la copii si alte malignitati mieloide
Stres, anxietate, suprastimulare: ce functioneaza cu adevarat pentru sistem ...
Afectiunile leucocitare la copii
Lupusul eritematos sistemic - generalitati