Cauzele genetice ale avortului spontan - mola hidatiforma

Dr. Dan Tutunaru
Medic Primar Obstetrica Ginecologie
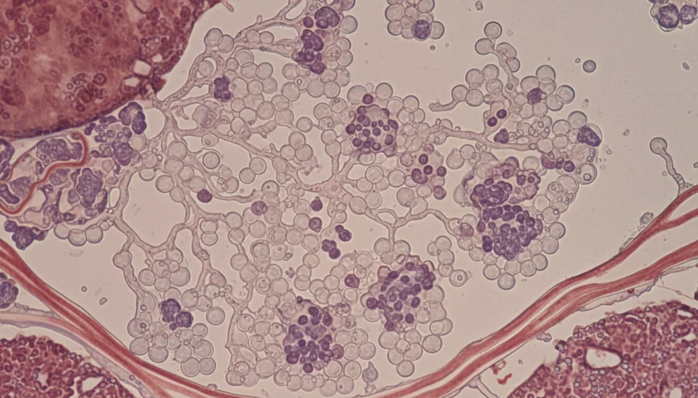
Mola reprezinta o particularitate a dezvoltarii embrionare caracterizata prin aparitia unei sarcini fara embrion (sarcina molara), in care se dezvolta numai tesutul placentar.
De fapt, exista doua tipuri de mola: completa, in care nu exista embrion, ci numai tesut placentar, si incompleta, in care exista doar un rudiment de embrion si, in rest, tesut placentar.
Mola completa apare din fecundarea unui ovul lipsit de nucleu de catre doi spermatozoizi, rezultand un organism denumit androgenot, adica cu material genetic provenit doar de la tata.
Natura insa nu permite obtinerea unui organism mamifer fara aportul genetic al ambilor parinti. Care este explicatia? In embriogeneza timpurie sunt necesare gene care sa provina de la ambii parinti.
Genetica mendeliala sustine ca cromozomii mosteniti de la mama trebuie sa fie identici functional cu cei mosteniti de la tata, astfel ca ar fi normal ca celula euploida, alcatuita din 46 cromozomi proveniti numai de la tata (cu material exclusiv patern) sa poata sa se dezvolte normal.
Programează-te rapid la medicii recomandați de SfatulMedicului.ro prin serviciul de programări Clickmed
Găsești peste 7500 de medici cu program disponibil
Alege medicul potrivit pentru: Ginecologie , Ecografie , Mamografie , Infertilitate .
Imposibilitatea acestui fapt isi are explicatia in existenta unui fenomen genetic recent descoperit denumit imprinting, in care anumite gene provenite de la mama sunt inactivate, rezultand un numar anormal de cromozomi, in timp ce genele omologe provenite de la tata sunt active. Fenomenul este prezent si invers, adica gene omologe inactive la tata sunt active pe cromozomii materni omologi.
De ce exista insa imprintingul? La mamifere, fatul se dezvolta in organismul matern, deci tatal nu are niciun fel de control asupra soartei copilului (care ii poarta genele). Totul se afla sub control matern.
Interesul tatalui este ca fatul sa profite la maximum de resursele materne, in timp ce interesul matern este ca ea sa isi pastreze resurse si pentru alte sarcini concomitente sau ulterioare.
In consecinta, tatal are active genele care promoveaza placentatia, in timp ce mama isi activeaza genele care dezvolta embrionul. In mola, neexistand gene materne, embriomul ori nu se formeaza deloc, ori acesta este defectuos format.
Articole recomandate
-
Cauzele genetice ale avortului spontan - translocatii
-
Cauzele genetice ale avortului spontan - Numar anormal de cromozomi
-
Cauzele genetice ale avortului spontan - Mutatii, deletii si mozaicism
-
Oboseala afecteaza milioane de oameni: cum devin un sprijin farmaciile moderne
-
Acid salicilic vs niacinamide vs retinol: cum alegi fara sa-ti iriti tenul
-
Poate fumatul sa provoace avort spontan?
-
Avortul spontan - pierderea spontana a sarcinii
-
Avortul spontan - diagnostic, semne si simptome
In consecinta, se formeaza doar tesut placentar. Acesta poate sa fie relativ bine tolerat de mama, formand mola simpla, sau poate degenera, formezand un tip de cancer, denumit coriocarcinom.
Ai o propunere de completare sau neclarități?
In cazul in care articolul nu a acoperit in totalitate un anumit aspect care va intereseaza, va incurajam sa ne trimiteti sugestii pentru completare. Astfel, ne veti ajuta sa completam si sa imbunatatim continutul pentru toti cititorii.
Programează-te rapid la medicii recomandați de SfatulMedicului.ro prin serviciul de programări Clickmed
Găsești peste 7500 de medici cu program disponibil
Alege medicul potrivit pentru: Ginecologie , Ecografie , Mamografie , Infertilitate .
Articole recomandate
-
Triploidia, o anomalie genetica
-
Riscurile si complicatiile avortului
-
Pierderea unei sarcini si moartea neonatala
-
Tipuri de teste genetice
-
Metotrexatul in tratamentul bolii trofoblastice gestationale
-
Alignerele dentare – solutia invizibila pentru un zambet perfect aliniat
-
Efectele pierderii unei sarcini asupra ciclului menstrual
-
Alimente interzise in sarcina


Cauzele genetice ale avortului spontan - translocatii
Cauzele genetice ale avortului spontan - Numar anormal de cromozomi
Cauzele genetice ale avortului spontan - Mutatii, deletii si mozaicism
Oboseala afecteaza milioane de oameni: cum devin un sprijin farmaciile moderne
Acid salicilic vs niacinamide vs retinol: cum alegi fara sa-ti iriti tenul
Poate fumatul sa provoace avort spontan?
Avortul spontan - pierderea spontana a sarcinii
Avortul spontan - diagnostic, semne si simptome
Triploidia, o anomalie genetica
Riscurile si complicatiile avortului
Pierderea unei sarcini si moartea neonatala
Tipuri de teste genetice
Metotrexatul in tratamentul bolii trofoblastice gestationale
Alignerele dentare – solutia invizibila pentru un zambet perfect aliniat
Efectele pierderii unei sarcini asupra ciclului menstrual
Alimente interzise in sarcina