Contul Meu
Cauta afectiune/simptom/conditie medicala
Cere sfatul medicului
Cere sfatul
medicului
programare rapida la peste 7500 de medici
Autoevaluare
Interpretare analize
Sanatate A-Z
Medicamente
Suplimente
Cauta medic
Clinici
Grupuri discutii
Programari medic
SfatulMedicului.ro
›
Galerii Foto
›
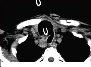
Cancerul tiroidian
Cancerul tiroidian
Alte galerii foto
Alte galerii foto
Abcesul dentar
Abcesul pancreatic
Abcesul perianal
Abordarea discutiei despre sex c...
Accidentul ischemic tranzitor
Accidentul vascular cerebral (AVC)
Acneea rozacee
Acneea vulgara
Acneea, zeci de cauze si efecte ...
Actionati preventiv impotriva ca...
Adenomul de prostata
Adenopatiile si alte formatiuni ...
Aerobicul
Afectiuni ale aparatului genital...
Afectiuni ale aparatului genital...
Afectiuni ale sistemului digestiv
Afectiuni ale tendonului lui Achile
Afectiuni genetice rare
Afectiunile cutanate
Afectiunile genunchiului
Afectiunile oftalmologice - sim...
Agorafobia
Ajutorul acordat unei persoane i...
Alaptarea
Alcoolul: de la obisnuinta, la a...
Alergenii din aer
Alergiile
Alergiile - Anafilaxia, rinita a...
Alergiile copiilor
Alergiile copiilor nostri - Cauz...
Vezi toate galeriile