Adevaruri despre sange
Generalitati
Ce este sangele?
Sangele este fluidul care mentine viata si circula prin:
- inima;
- artere;
- vene;
- capilare.
Care este functia sangelui?
Sangele transporta la tesuturile organismului:
- nutrienti;
- electroliti;
- hormoni;
- vitamine;
- anticorpi;
- caldura;
- oxigen.
De asemenea, sangele indeparteaza deseurile si dioxidul de carbon de la tesuturile organismului.
Din ce este compus sangele?
Sangele uman este format intr-un procent de 22% din substante solide si 78% apa.
Componentele sangelui uman includ:
1. Plasma, in interiorul careia se afla celulele sanguine si este compusa din:
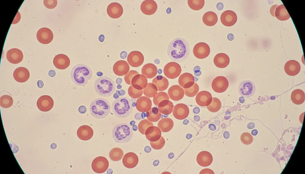
- celule sanguine rosii sau eritrocitele au rolul de a transporta oxigenul de la plamani catre restul corpului;
- celule sanguine albe (leucocite) - care ajuta in lupta contra infectiilor si contribuie la procesul de imunizare. Exista mai multe tipuri de celule albe si anume:
- limfocite;
- monocite;
- eozinofile;
- bazofile;
- neutrofile (granulocite);
- trombocite sau plachete sanguine cu rol important in coagluarea sangelui.
2. Globule de grasime;
3. Substante chimice care contin:
- carbohidrati;
- proteine;
- hormoni.
4. Gaze, inclusiv:
- oxigen;
- dioxid de carbon;
- azot.
Unde se formeaza celulele sanguine?
Celulele sanguine se formeaza in maduva osoasa.
Maduva osoasa este o formatiune complexa, de consistenta moale, spongioasa, localizata in centrul oaselor, care produce aproximativ 95% dintre celulele sanguine ale organismului.
Exista si alte organe si sisteme din corpul uman care ajuta la echilibrarea productiei de celule sanguine.
Printre acestea se enumera ganglionii limfatici, splina, ficatul care au rol in crearea, distrugerea si diferentierea (participand la dezvoltarea unor functii specifice) celulelor.
Procesul prin care se produc si se dezvolta noi celule poarta numele de hematopoieza.
Celulele de sange formate in maduva osoasa iau forma unei celule stem sau celule hematopoietice - forma primara, initiala a tuturor celulelor sanguine.
Pe masura ce se maturizeaza, celulele stem evolueaza in mai multe tipuri distincte de celule sanguine, cum ar fi: ceulele rosii, celulele albe si trombocitie.
Celulele sanguine imature sunt denumite blasti. Unele celule de acest tip raman in maduva osoasa pana se maturizeaza iar altele circula in alte parti ale corpului pentru a se maturiza si sa functioneze ca celule sanguine.
Care sunt functiile celulelor sangelui?
Programează-te rapid la medicii recomandați de SfatulMedicului.ro prin serviciul de programări Clickmed
Găsești peste 7500 de medici cu program disponibil
Alege medicul potrivit pentru: Analize medicale .
Functia primara a celulelor rosii ale sangelui sau a eritrocitelor este de a transporta oxigen si dioxid de carbon. Hemoglobina este o proteina importanta din componenta celulelor rosii sanguine care transporta oxigenul de la plamani catre toate partile corpului uman.
Principala functie a celulelor sanguine albe sau a leucocitelor este sa lupte impotriva infectiilor.
Exista mai multe tipuri de celule albe sanguine si fiecare are propriul sau rol impotriva infectiilor bacteriene, virale, fungice si parazitare.
Cele mai importante tiuri de celule albe sanguine care ajuta la protejarea de infectii si impotriva celulelor straine includ:
- neutrofilele;
- eozinofilele;
- limfocitele;
- monocitele;
- granulocitele.
Rolul celulelor sanguine
Celulele albe din sange au diverse roluri:
- nu contribuie doar la lupta impotriva infectiilor ci si ajuta la vindecarea ranilor prin ingerarea a diverse materiale cum ar fi celule moarte, resturi de tesut si celule rosii sanguine imbatranite.
- protejeaza organismul uman de corpurile straine care pot patrunde in fluxul sanguin, cum ar fi alergenii.
- sunt implicate in protectia organismului impotriva celulelor anormale, cum ar fi cele intalnite in cazul cancerului.
Articole recomandate
-
Transplantul de celule stem din sangele periferic
-
Transfuziile sanguine: reguli, limite, complicatii si alternative
-
Sangele si bolile de sange
-
La ce varsta ar trebui sa incepi preventia ridurilor? Raspunsul dermatologil ...
-
Dupa operatiile cardiace sau episoadele post-acute, incepe adevarata lupta: ...
-
Legislatia privind transfuzia de sange, donarea de organe si componente sang ...
-
Mituri si adevaruri despre constipatie
-
Celule stem intrebari frecvente
Functia de baza a trombocitelor sau plachetelor sanguine este coagularea sangelui.
Trombocitele au dimensiuni mult mai mici decat celelalte celule ale sangelui. Acestea se aduna la un loc, se grupeaza impreuna si formeaza o bariera sau un tampon in fisura vasului de sange pentru a opri sangerarea acestuia.
Ce este o hemoleucograma completa?
Hemoleucograma completa este o investigatie a sangelui care masoara dimeniunea, numarul si nivelul de maturitate (ciclul de viata) a diferite celule sanguine aflate intr-un volum specific de sange.
Hemoleucograma completa poate fi utilizata pentru a se descoperi mai multe tipuri de anomalii fie din cadrul productiei sau a ratei de distrugere a celulelor sanguine.
Variatiile de la numarul normal, dimensiunea sau gradul de maturitate a celulelor sanguine pot fi folosite pentru a indica debutul unei boli sau prezenta unei boli aflate in desfasurare.
Adesea, in cazul unei infectii, numarul de globule albe (leucocite) va fi ridicat. Multe forme de cancer pot afecta capacitatea maduvei osoase de a produce celule sanguine.
Cresterea semnificativa a numarului de celule albe imature din sange in urma unei hemoleucograme complete poate semnifica prezenta leucemiei.
Specific anemiei si siclemiei este hemoglobina anormal de scazuta.
In mod normal, o hemoleucograma completa include analiza:
- celulelor albe din sange (leucocite);
- celulelor rosii din sange (eritrocitele);
- trombocitelor sau plachetelor sanguine (volumul acestora);
- volumului hematocritului celulelor rosii din sange;
- concentratia hemoglobinei - pigmentul care transporta oxigenul din celulele rosii din sange;
- numaratoarea leucocitara care contribuie la diagnosticarea anemiei si a altor afectiuni ale sangelui printre care si anumite tipuri de cancer, cu rol in evaluarea cantitatii pierdute de sange si a infectiilor.
Aceasta investigatie presupune si monitorizarea raspunsului pacientului bolnav la tratamentul pentru cancer, cum ar fi radioterapia si chimioterapia.
Prin intermediul acestei analize de sange se va stabili si numarul de trombocite in scopul diagnosticarii eventualelor tulburari de coagulare a sangelui.
Timpul de protrombina este o analiza de sange care se realizeaza in scopul de a se evalua eventualele probleme legate de sangerare si tulburarile de coagulare ale sangelui si cu ajutorul careia se vor monitoriza eficienta terapiilor cu substante anticoagulante.
Medicul va explica fiecarui pacient scopul analizelor medicale de sange, va interpreta si discuta cu acesta rezultatele obtinute.
Din cauza complexitatii sangelui si a rolului componentelor acestuia deosebit de importante in mentinerea vietii si a unei functionari adecvate a organismului, cand exista deficite, anomalii sau alte probleme asemanatoare, se vor declansa boli, anemii si chiar cancere (leucemie) care pot pune in pericol viata unei persoane.
Ai o propunere de completare sau neclarități?
In cazul in care articolul nu a acoperit in totalitate un anumit aspect care va intereseaza, va incurajam sa ne trimiteti sugestii pentru completare. Astfel, ne veti ajuta sa completam si sa imbunatatim continutul pentru toti cititorii.
Programează-te rapid la medicii recomandați de SfatulMedicului.ro prin serviciul de programări Clickmed
Găsești peste 7500 de medici cu program disponibil
Alege medicul potrivit pentru: Analize medicale .
Articole recomandate
-
Analize de sange pentru depistarea cancerului
-
9 mituri si adevaruri despre stres
-
Cat de gros este sangele dumneavoastra?
-
Leucemia cu celule paroase
-
Care sunt bolile la care esti predispus in functie de grupa ta de sange?
-
Colagenul in curele de slabire: cum sustine pielea si articulatiile in timpu ...
-
Conf. Dr. Alina Tanase: Oboseala, febra si infectiile, cele mai frecvente se ...
-
Transplantul de celule stem hematopoietice


Transplantul de celule stem din sangele periferic
Transfuziile sanguine: reguli, limite, complicatii si alternative
Sangele si bolile de sange
La ce varsta ar trebui sa incepi preventia ridurilor? Raspunsul dermatologil ...
Dupa operatiile cardiace sau episoadele post-acute, incepe adevarata lupta: ...
Legislatia privind transfuzia de sange, donarea de organe si componente sang ...
Mituri si adevaruri despre constipatie
Celule stem intrebari frecvente
Analize de sange pentru depistarea cancerului
9 mituri si adevaruri despre stres
Cat de gros este sangele dumneavoastra?
Leucemia cu celule paroase
Care sunt bolile la care esti predispus in functie de grupa ta de sange?
Colagenul in curele de slabire: cum sustine pielea si articulatiile in timpu ...
Conf. Dr. Alina Tanase: Oboseala, febra si infectiile, cele mai frecvente se ...
Transplantul de celule stem hematopoietice