Contul Meu
Cauta afectiune/simptom/conditie medicala
Cere sfatul medicului
Cere sfatul
medicului
programare rapida la peste 7500 de medici
Autoevaluare
Interpretare analize
Sanatate A-Z
Medicamente
Suplimente
Cauta medic
Clinici
Grupuri discutii
Programari medic
SfatulMedicului.ro
Comunitate
Utilizator: costyl1
Fotografii
Despre
Raspunsuri date pacientilor
Fotografii
costyl1: Fotografii
« Pagina personala
Album:
Toate fotografiile
Toate fotografiile
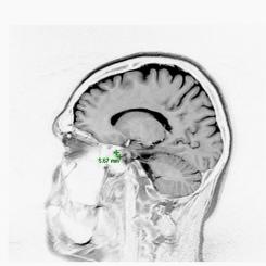
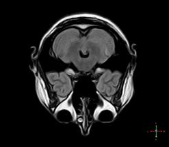
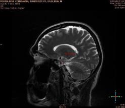
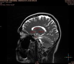
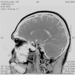
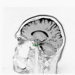
Imagini RMN (5)
Chist etmoidal
6_Imagine RMN _20.04.2010
5_Imagine RMN _09.07.2009
4_Imagine RMN _09.07.2009
3_Imagine RMN _09.07.2009
2_Imagine RMN _09.07.2009
1_Imagine RMN _09.07.2009