Contul Meu
Cauta afectiune/simptom/conditie medicala
Cere sfatul medicului
Cere sfatul
medicului
programare rapida la peste 7500 de medici
Autoevaluare
Interpretare analize
Sanatate A-Z
Medicamente
Suplimente
Cauta medic
Clinici
Grupuri discutii
Programari medic
SfatulMedicului.ro
Comunitate
Utilizator: costyl1
Fotografii
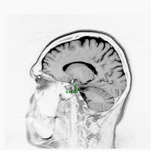
2_Imagine RMN _09.07.2009
Foto
Fotografia urmatoare »
« Fotografia anterioara
Comentarii
Nu sunt comentarii. Fii primul care comenteaza!
Pentru a lasa un comentariu, trebuie sa va autentificati