Babesioza
Generalitati
Babesioza este o boala infectioasa cauzata de un parazit asemanator malariei, Babesia.
Dupa tripanosomiaza, infectia cu Babesia este considerata a fi pe locul 2 ca frecventa a parazitozelor hematologice la mamifere, insa omul este mult mai rar afectat.
Boala este denumita dupa parazitul care o determina, acesta fiind descoperit de bacteriologul roman, Victor Babes.
Babesioza este o boala transmisa prin intermediul vectorilor. Acestia sunt de cele mai multe ori ectoparaziti hematofagi care populeaza organismele mamiferelor, pasarilor si ocazional ale reptilelor si amfibienilor. Acestia sunt si vectorii bolii Lyme si a unor menigoencefalite. Din acest motiv, babesioza poate sa apara concomitent cu aceste boli.
In zonele endemice acest parazit se poate transmite chiar si prin transfuzii sangvine.
Boala este prezenta atat in Europa, unde agentul etiologic este Babesia divergens, cat si in Statele Unite, unde este cauzata in special de Babesia microti si Babesia duncani.
Simptomatologie
Majoritatea babesiozelor sunt asimptomatice sau paucisimptomatice (pacientul nu descrie decat febra de intensitate moderata si simptome sugestive pentru anemie).
Cazurile grave au simptome asemanatoare malariei, cu accese febrile care pot ajunge chiar si la 40 de grade Celsius, frisoane si anemie hemolitica importanta. Pacientul poate sa prezinte inclusiv insuficienta multipla de organ.
Boala este severa doar in cazul pacientilor splenectomizati (a caror splina a fost indepartata chirurgical), celor foarte tineri sau foarte batrani (pacienti aflati la varste extreme) sau celor imunodeprimati. Babesia este un parazit ce se reproduce in hematii si determina aparitia anemiei hemolitice.
Babesioza apare in special la pacientii care traiesc sau calatoresc in zone endemice sau care primesc transfuzii cu sange contaminat. Boala poate fi suspectata daca o persoana cu un astfel de istoric dezvolta semne si simptome sugestive de anemie.
Investigatii
Programează-te rapid la medicii recomandați de SfatulMedicului.ro prin serviciul de programări Clickmed
Găsești peste 7500 de medici cu program disponibil
Alege medicul potrivit pentru: Infectioase .
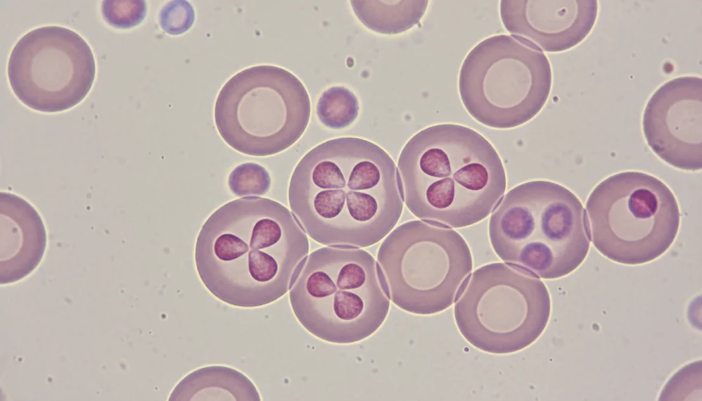
Diagnosticul de certitudine se pune prin identificarea parazitului in sange - prin colorarea speciala Giemsa a frotiului de sange periferic. Uneori, pentru a fi vizualizat, trebuie sa se repete frotiurile, deoarece parazitul infecteaza mai putin de 1% din hematiile circulante. Daca determinarile microscopice se mentin negative, dar suspiciunea clinica este ridicata, se pot realiza teste serologice pentru detectarea anticorpilor antiBabesia (care pot fi de tip Ig G si Ig M).
Tratament
De cele mai multe ori pacientii nu necesita un tratament specific. Daca acesta este insa necesar, se administreaza o combinatie de chinina si clindamicina sau azitromicina.
Ai o propunere de completare sau neclarități?
In cazul in care articolul nu a acoperit in totalitate un anumit aspect care va intereseaza, va incurajam sa ne trimiteti sugestii pentru completare. Astfel, ne veti ajuta sa completam si sa imbunatatim continutul pentru toti cititorii.
Programează-te rapid la medicii recomandați de SfatulMedicului.ro prin serviciul de programări Clickmed
Găsești peste 7500 de medici cu program disponibil
Alege medicul potrivit pentru: Infectioase .
Articole recomandate
-
Care este legatura dintre starile de oboseala si anemie
-
Boala Lyme nu este singura boala transmisa de capusa
-
Malaria
-
Tot ce trebuie sa stii despre anemie. Afla cand trebuie sa te ingrijorezi
-
Malaria, boala ce poate pune viata in pericol
-
Osteoartrita, artrita, dureri articulare: ce se intampla cand gelul obisnuit ...
-
Deficitul de vitamina D, asociat cu riscul de anemie la copii
-
Prevenirea bolilor declansate de muscaturile de capuse


Care este legatura dintre starile de oboseala si anemie
Boala Lyme nu este singura boala transmisa de capusa
Malaria
Tot ce trebuie sa stii despre anemie. Afla cand trebuie sa te ingrijorezi
Malaria, boala ce poate pune viata in pericol
Osteoartrita, artrita, dureri articulare: ce se intampla cand gelul obisnuit ...
Deficitul de vitamina D, asociat cu riscul de anemie la copii
Prevenirea bolilor declansate de muscaturile de capuse