Cum se manifesta trichineloza
Generalitati
Trichineloza este o boala comuna omului si anumitor animale, are caracter acut, datorita infestarii pe cale intestinala cu un vierme cilindric de dimensiuni foarte mici, Trichinella spiralis, ale carui larve trec in organism si se inchisteaza indeosebi in masele musculare, dand o simptomatologie caracterizata prin dureri, febra si manifestari alergice.
Etiologie si patogenie
Boala este data de larva viermelui Trichinella spiralis, de 1,5-4 mm lungime. Ciclul de dezvoltare se petrece in acelasi organism animal, care este infestat atat cu forma adulta, cat si cu larva sa inchistata. Dintre animale, porcul, sobolanul, vulpea, ursul, cainele, pisica si alte animale carnivore reprezinta rezervorul de virus, de unde viermele poate fi transmis la om.
Omul ingera carnea, de obicei de porc, infestata cu larve inchistate de trichina, care sunt puse in libertate prin digerarea chistului de catre sucul gastric.
Larvele devin libere si se transforma in adulti in 5-7 zile, fiind eliminate din intestin dupa ce masculii fertilizeaza femelele care depun fiecare circa 1500 oua, din care se dezvolta noi larve.
Acestea traverseaza peretele intestinal si strabatand, odata cu sangele, ficatul si plamanul, ajung prin marea circulatie in musculatura scheletala.
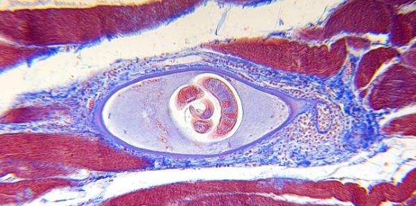
Aici se fixeaza si se dezvolta iar dupa 50 de zile se inconjoara de un perete chistic conjunctiv, care se formeaza in aproximativ 3 luni de zile.
Programează-te rapid la medicii recomandați de SfatulMedicului.ro prin serviciul de programări Clickmed
Găsești peste 7500 de medici cu program disponibil
Alege medicul potrivit pentru: Infectioase .
Dupa 6 luni, se produce calcificarea peretelui chistic, in interior larva ramanand vie, si putand astfel prin ingerarea odata cu carnea insuficient preparata termic sa infesteze si alte organisme.
Simptomatologie clinica
Depinde de cantitatea de viermi ingerati si de reactivitatea organismului. Din aceste motive, incubatia variaza de la 9-28 zile. In perioada de invazie apar semne gastrointestinale: vagi dureri abdominale, greturi, anorexie, uneori diaree.
Perioada de stare incepe o data cu diseminarea larvelor in diverse teritorii musculare. Apar dureri intense in masele musculare, cu tumefactie locala.
Diverse miscari devin penibile, dureroase (mers, masticatie, deglutitie, respiratie).
Pe tegumente apar diverse eruptii urticariene sau scarlatiniforme, care provoaca mancarime, hemoragii subunghiale. Se produce tumefactia regiunii periorbitale sau a intregii fete.
Febra 38-39 grade, mai multe zile. In formele severe apar tulburari neuropsihice, dureri de cap, ameteli, confuzie mentala, meningism, uneori coma (din cauza infestarii creierului cu larve).
Articole recomandate
-
Manifestarile neurologice in Trichineloza
-
Riscurile ascunse ale consumului de carne de porc
-
Carnea de porc: beneficii si riscuri
-
La ce varsta ar trebui sa incepi preventia ridurilor? Raspunsul dermatologil ...
-
Cum recunosti rapid un accident vascular cerebral. Cele trei semne care salv ...
-
Beneficii si efecte adverse ale carnii de porc
-
Cum sa interpretati diversele tipuri de dureri de cap
-
7 alimente care provoaca dureri de cap!
Alte simptome tin de afectarea plamanului, tuse, dificultate la respiratie, sputa cu sange. De asemenea, in afectarea miocardului se asurzesc zgomotele cardiace, tahicardie, sufluri, uneori galop.
Dupa 7-10 zile apar modificari de laborator: leucocite crecute (20 000-30 000/mm3), cu neutrofile si eozinofile crescute (uneori peste 50%, mai rar peste 80%). VSH de obicei normal,
transaminazele sunt crescute, putand sa apara treptat: anemie, hipoalbuminemie si hipoglicemie.
Perioada de diseminare a larvelor dureaza 20-30 de zile. Convalescenta coincide cu inchistarea larvelor si disparitia treptata a simptomelor.
Complicatii
Cele mai frecvente sunt cele nervoase, date de localizarile cerebrale. Semnele sunt fie difuze (meningita, encefalita), fie de focar (in functie de localizare, semne ca la orice proces tumoral). Complicatiile miocardice, subclinice trebuie depistate prin control atent clinic si EKG.
Diagnostic
Diagnosticul pozitiv se face pe baza semnelor clinice descrise, intarite de datele epidemiologice - consum de carne insuficient preparata, aparitia de obicei de focare familiale sau in colectivitati.
Laboratorul da date pretioase; probe nespecifice, cum ar fi leucocitoza cu eozinofilie, dar mai ales o serie de reactii specifice, serologice sau bioptice.
Astfel, testul intradermic cu antigen de trichin 1/10 000, care se efectueaza cu martor, da rapid, in 5-30 minute, o umflatura albicioasa cu diametrul de cca. 5 mm, inconjurata de o zona rosie.
Dupa 18-24 de ore apare reactia locala tardiva (infectii cronice). Testul este pozitiv din a 20-a zi de boala la 85% din cazuri si ramane pozitiv ani de zile. Dintre probele serologice se pot face: reactia de precipitare larvara (specifica si precoce), testele de floculare pe lama sau in tuburi, reactia de fixare a complementului.
Cea mai sigura proba de diagnostic ramane insa biopsia musculara, care se efectueaza dupa 3-4 saptamani, prin recoltare din muschii cei mai infestati si privire la microscop sau trichinoscop.
Diagnosticul diferential se face cu gripa, meningoencefalitele, septicemiile, febra tifoida, dermatomiozita, polimiozita, poliomielita, polinevritele.
Evolutie si prognostic
In formele usoare si moderate evolutia se face spre vindecare, prognosticul fiind bun.
Acestea reprezinta majoritatea formelor de boala. In formele severe cu complicatii neurologice si care survin pe organisme anterior afectate, evolutia poate imbraca forme grave, prognosticul fiind rezervat. Decesul poate surveni in 5-10% din cazuri.
Tratament
Boala necesita un tratament igieno-dietetic care consta in repaus la pat, dieta hipercalorica, bogata in glucide si vitamine. Tratamentul medicamentos este etiologic, patogenic si simptomatic. Ca medicatie etiologica se foloseste un antihelmintic timp de 5-7 zile.
Rezultatele sunt bune, cu ameliorarea starii generale. Tratamentul patogenic consta in administrarea preparatelor cortizonice, cu efect antialergic major, in special in formele severe.
Tratamentul simptomatic urmareste combaterea durerii cu antialgice si sedative. In formele severe se administreaza solutii glucozate in perfuzii, pentru rehidratare, si tonicardiace.
Profilaxia
Se face de catre serviciul veterinar, boala fiind o zoonoza. Acest lucru se realizeaza prin examenul trichinoscopic al carnii date in consum, evitarea consumarii carnii din taieri particulare, de animale salbatice (mistret).
Deratizarea este o masura ce previne infestarea porcilor.
Distrugerea trichinelor din carnea infestata se face prin congelare, 3 luni la -18grade, sau refrigerarea rapid la -35grade.
De asemenea se foloseste iradierea cu raze gamma. Prelucrarea termica suficienta a carnii ramane cea mai eficienta masura, la indemina oricui.
Ai o propunere de completare sau neclarități?
In cazul in care articolul nu a acoperit in totalitate un anumit aspect care va intereseaza, va incurajam sa ne trimiteti sugestii pentru completare. Astfel, ne veti ajuta sa completam si sa imbunatatim continutul pentru toti cititorii.
Programează-te rapid la medicii recomandați de SfatulMedicului.ro prin serviciul de programări Clickmed
Găsești peste 7500 de medici cu program disponibil
Alege medicul potrivit pentru: Infectioase .
Articole recomandate
-
Simptome ale bolilor parazitare sau cum se manifesta infectiile cu paraziti
-
Dureri de cap simtite in spatele ochilor
-
Febra Q: cauze, simptome, tratament
-
Cum scapi de durerile de cap fara medicamente
-
Cum se manifesta alergia la soare
-
Colagenul in curele de slabire: cum sustine pielea si articulatiile in timpu ...
-
Gamofobia - cum se manifesta
-
Cum sa identifici corect si sa tratezi durerile de cap?



Manifestarile neurologice in Trichineloza
Riscurile ascunse ale consumului de carne de porc
Carnea de porc: beneficii si riscuri
La ce varsta ar trebui sa incepi preventia ridurilor? Raspunsul dermatologil ...
Cum recunosti rapid un accident vascular cerebral. Cele trei semne care salv ...
Beneficii si efecte adverse ale carnii de porc
Cum sa interpretati diversele tipuri de dureri de cap
7 alimente care provoaca dureri de cap!
Simptome ale bolilor parazitare sau cum se manifesta infectiile cu paraziti
Dureri de cap simtite in spatele ochilor
Febra Q: cauze, simptome, tratament
Cum scapi de durerile de cap fara medicamente
Cum se manifesta alergia la soare
Colagenul in curele de slabire: cum sustine pielea si articulatiile in timpu ...
Gamofobia - cum se manifesta
Cum sa identifici corect si sa tratezi durerile de cap?