- SfatulMedicului.ro
- IlustratiiMedicale
- Capusele, iedera otravitoare si alti iritanti ai pielii in perioada verii
Capusele, iedera otravitoare si alti iritanti ai pielii in perioada verii
Stinge lumina!
|
Muscatura de capusa
Capusele ataca pielea cu clestii lor mici si se hranesc cu sucurile din interiorul celulelor pielii. Dupa cateva zile, se desprind si lasa in urma o pata rosie, care provoaca mancarimi. Chiar si cu tratament, roseata si mancarimile intense pot tine pana la cateva saptamani pentru fiecare piscatura. Tratamentele pot ajuta in sensul atenuarii mancarimilor, insa temporar. Daca pielea pare infectata sau muscaturile par sa se raspandasca si in alte parti ale corpului, consultati medicul. Acesta va va sugera un tratament aditional, cum ar fi antihistamine sau antibiotice.
|
Miliaria (iritatiile de la caldura)
Miliaria rubra este un tip de iritatie cauzata de caldura, care apare sub forma unor bubite mici, rosii care pot provoca usturimi. Miliaria cristalina, pe de alta parte, apare sub forma unor mici umflaturi, transparente, umplute cu fluid, care nu produc alte semne sau simptome. Cauzata de o hiperactivitate a glandelor sudoripare, miliaria apare de obicei pe gat, partea superioara a pieptului, sub sani si in cutele coatelor. Aceasta iritatie nu este grava. Se rezolva de obicei de la sine daca stati intr-un mediu mai uscat si mai rece.
|
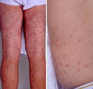
Boala Lyme
O piscatura a unei capuse infectate poate cauza boala Lyme, caracterizata printr-o iritatie specifica, simptome ca de raceala si dureri la nivelul articulatiilor. Iritatia apare la cateva zile sau la o luna in urma unei piscaturi, sub forma unei umflaturi mici si rosii. Dupa mai multe zile, roseata se extinde. Semnele si simptomele bolii Lyme pot sa dispara subit dar asta nu inseamna ca v-ati vindecat. Lasata netratata, boala Lyme poate sa se extinda in restul corpului cauzand artrita si probleme ale sistemului nervos. Daca stiti ca ati fost piscat si aveti semne si simptome asemanatoare cu cele descrise mai sus, consultati medicul imediat. Antibioticele sunt de obicei efective daca incepeti tratamentul din timp.
|
Iedera otravitoare
Contactul cu iedera otravitoare sau cu stejarul otravitor poate cauza umflarea si inrosirea pielii, basicute si mancarimi severe. Iritatia- o forma de dermatita de contact- poate sa erupa in decursul a 8 ore de la expunere sau poate sa apara la cateva saptamani dupa aceasta. Reactia este cauzata de contactul cu rasina- o substanta fara culoare, uleioasa continuta de toate partile acestor plante. Iritatia se vindeca de la sine in 1-2 saptamani fara tratament. Lotiunile din calamina si crema hidrocortizona pot fi de ajutor in calmarea mancarimilor. Daca aveti reactii severe sau daca ochii sau zona genitala sunt implicate, consultati medicul. Acesta va va sugera un tratament aditional, cum ar fi prescrierea unei creme cu cortizona sau antihistaminice.
|
Eruptii solare
Persoanele sensibile la lumina solara pot avea parte de eruptii solare in urma unei expuneri prelungite, in special primavara sau la inceputul verii. Iritatia apare in general sub forma unor pete rosii, care provoaca mancarimi, la o zi dupa expunere. Inflamatia apare mai des la nivelul partii anterioare a gatului la fel de bine ca si pe brate si coapse si, in general, nu apare pe fata. Eruptiile solare dispar de la sine dupa 7-10 zile, dar pot sa reapara si sa se inrautateasca primavara sau vara urmatoare. Cremele cu cortizona sau antihistaminicele pot fi de folos daca iritatia devine inconfortabila. Expunerile graduale la soare in timpul primaverii sunt cea mai buna metoda de tratare si prevenire a acestei probleme.
|
Ierburi
Polenul ierburilor este cauza principala a rinitei alergice, dar poate cauza si dermatita de contact, o inflamatie a pielii. Iritatia de culoare rosie, care consta in umflaturi mici si basicute care provoaca mancarimi, apare in general la 2 zile dupa contactul cu polenul. Inflamatia dispare de la sine dupa 2-3 saptamani. Lotiunile de calamina si crema hidrocortizona pot ajuta in privina atenuarii mancarimilor. Consultati medicul daca iritatia nu dispare dupa 2-3 saptamani sau daca este inconfortabila sau dureroasa.
|
Iritatiile inotatorilor
Parazitii din apele infectate pot patrunde prin straturile superficiale ale pielii- care nu este acoperita. Organismele mor foarte repede si cauzeaza o reactie alergica a pielii. Initial, iritatia este moderata si consta in roseata pielii si e insotita de mancarimi. In urma mai multor expuneri la aceste organisme, reactia poate fi mult mai severa cauzand uneori basicute. Iritatiile nu sunt severe si de obicei se trateaza de la sine in decursul unei saptamani. Consultati medicul daca iritatia nu dispare dupa o saptamana sau daca aveti o senzatie de disconfort sau dureri.
|
Tinea versicolor
Tinea versicolor (cunoscuta si sub numele de pitiriazis versicolor) este o infectie a pielii produsa de o ciuperca. Pielea are un aspect solzos, cu cruste. Infectia, care apare mai des la temperaturi calde si umiditate, afecteaza in special spatele, pieptul si bratele si poate cauza mancarimi. Cremele antifungice, lotiunile si sampoanele pot ajuta la tratarea acestei afectiuni. Dar chiar si in urma celui mai de succes tratament, culoarea pielii poate ramane neuniforma pentru mai multe saptamani si infectia poate sa reapara.
|
Fitofotodermatita
Seva plantelor salbatice alaturi de expunerea la soare cauzeaza o reactie a pielii asemanatoare cu o arsura. Suprafata arsa, care pare o arsura solara moderata catre severa isi schimba deseori culoarea in rosu inchis sau maro. Decolorarea acestei zone poate sa se faca abia dupa 2 ani. Masurile de auto-protectie, cum ar fi aplicarea unor comprese umede, reci, pot fi de ajutor. Consultati medicul daca aveti stari de disconfort sau daca durerile sau basicutele sunt severe.
|
Starea pielii pe timpul verii
Vara inseamna vreme calda, vacante cu familia si sansa de a petrece clipe placute afara. Camparea, navigarea, mersul pe bicicleta, inotul sunt o parte dintre activitatile pe care le puteti face vara. Dar a fi afara inseamna a va expune la soare puternic, caldura, umiditate, paraziti, capuse si plante otravitoare. Pe timpul verii puteti avea iritatii, o stare de disconfort si chiar dureri. Unele iritatii, precum iritatia de la caldura si iritatiile inotatorilor dispar de la sine. Altele, incluzand boala Lyme, necesita tratament medical. Urmeaza un ghid al acestor stari sezoniere ale pielii, al cauzelor acestora si aflati cand trebuie sa consultati medicul.

