Reprezinti o clinica medicala? Uite cum te putem ajuta!

Clinica medicala

CENTRU MEDICAL DE ALERGOLOGIE SI STOMATOLOGIE

CENTRU MEDICAL DE ALERGOLOGIE SI STOMATOLOGIE

Articole

ionel florincescu-gheorghe

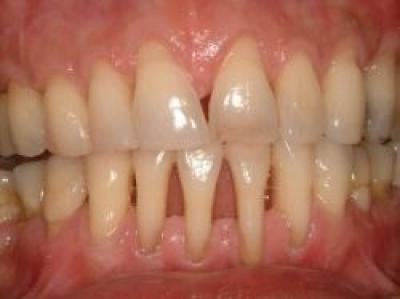
Problemelor de dinti si de gingii trebuie sa le acordam la fel de multa atentie ca si problemelor de inima, stomac etc.
Parodontoza - boala inflamatorie cronica a gingiei ce duce in timp la pierderea tuturor dintilor. Gingia se retrage de pe dinti, iar in final dintii, chiar daca su... Citeste mai departe

dr.Aura Florincescu-Gheorghe

Alergia - boala sec.XXI. Este o reactie anormala , exagerata a sistemului imun fata de unele substane care in mod normal nu sunt daunatoare.
Prevalenta bolilor alergice este in continua crestere . In ultimii ani s-a observat o crestere a prevalentei de 5% si daca se continua asa se ... Citeste mai departe

CENTRU MEDICAL DE ALERGOLOGIE SI STOMATOLOGIE

DOLJ

Craiova

Adresa: str.Batranilor nr.4, bl.21-25,in apropiere de Gara Craiova, langa Complex Bacriz, vis-a-vis de Biserica din Rovine.

Tel: 0756788218

E-mail:

Web: www.alergologie-craiova.ro

L
10:00-18:00
V
14:00-20:00
M
12:00-20:00
S
Inchis
M
11:00-18:00
D
Inchis
J
14:00-20:00
Reprezinti o clinica medicala? Uite cum te putem ajuta!