Reprezinti o clinica medicala? Uite cum te putem ajuta!

Clinica medicala

Velvet Dental

Velvet Dental

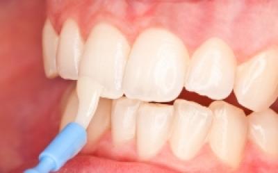
Fluorizarea si desensibilizarea dentara

Dr.Georgiana Elefterie

A
A
Fluorizarea si desensibilizarea dentara

Fluorizarea dintilor la adulti


Dupa ce se indeparteaza riguros placa dentara microbiana (prin igienizarea profesionala a cavitatii orale), se aplica solutii,geluri sau lacuri speciale, cu un continut ridicat de fluor.

Dupa tratament, pacientul nu trebuie sa consume alimente si lichide, timp de 30 de minute!

Fluorizarea creste rezistenta dintilor la atacul acid al bacteriilor prezente in cavitatea orala. In acelasi timp, trateaza cariile incipiente precum si sensibilitatea dentara.Asadar, daca remarcati mici pete pe dinti (inceputuri de carii), acestea pot fi tratate din timp cu ajutorul fluorizarii.Astfel, nu faceti decat sa preveniti afectiuni ale dintilor mai complicate si mai costisitoare, pe viitor.

  De asemenea, daca veti constata ca dintii dvs au devenit usor sensibili la rece, dulce sau cald,cereti medicului dentist sa vi se faca o fluorizare a dintilor.

Cand am nevoie sa fac o fluorizare a dintilor?

  Cand dintii prezinta pete alb cretoase, semn al unor carii incipiente.

  Cand pacientul opteaza pentru o albire profesionala.

  Cand pacientul este purtator de aparat dentar.

  Cand pacientul prezinta risc crescut pentru aparitia cariilor, igiena defectuoasa, handicap. invaliditate, sindromul gurii uscate etc. 

Avantajele fluorizarii dintilor

Fluorizarea dintilor previne aparitia cariilor prin:

-cresterea rezistentei structurii dure dentare la atacul acid bacterian

-remineralizarea leziunilor incipiente

-ingreunarea aderarii placii dentare microbiene

Fluorizarea desensibilizeaza dintii!!!


Atentie!

Tratamentul nesupravegheat poate conduce la intoxicatia cu fluor, ce se manifesta prin grata, crampe abdominale.Aceste pot evalua ulterior catre colaps circulator, respirator.



Desensibilizarea dintilor la adulti


Dintii sensibili reprezinta una dintre cele mai comune probleme dentare, cu care se confrunta majoritatea persoanelor.Este o afectiune care se datoraeza unui disconfort la nivelul dintilor in urma consumului de alimente calde, reci sau dulci.

Sensibilitatea poate varia de la o simpla contractie brusca la una de durata (la ordinul orelor).Aceasta afectiune apare atunci cand tesutul ginvival, mai exact stratul de la baza dintilor.De asemenea, canalele dentinare permit trecerea stimulilor calzi sau dulci, acstia ajungand in cele din urma la nervii dintilor si astfel se ajunge la disconfort si durere.

S-a constatat ca exista doua tipuri de sensibilitate:

-Sensibilitatea dentinara apare atunci cand stratul de mijloc al dintilor-dentina- este descoperita.In mod normal, acesta parte este acoperita de smalt mai sus de linia gingiei si cu cement sub linia gingiei.

In plus, sensibilitatea dentinara apare si atunci cand sunt eliminate partile protective ale dintilor (smaltul sau cementul).Acest lucru poate afecta unul sau mai multi dinti.

-Sensibiltatea la nivelul pulpei dentare. Evident este o reactie semnalata la nivelul pulpei dentare.Pulpa are tentinta de a afecta un singur dinte din rmatoarele cauze:prezenta cariei sau a infectiei, plombarea recenta, fisurarea sau fracturarea unui dinte, bruxismul (scrasnitul dintilor).

  Cauze:-fisurarea dintilor, bruxismul, scrasnitul dintilor-bruxismul,eroziunea dentara, alimentele acide,periajul agresiv, cu presiune pe dinte, igiena orala precara,acumulari de tartru,malocluzii netratate,diverse proceduri dentare( detartraj,gingivectomie,planarea radacinilor), proceduri de albire a dintilor, varsta.


 Exista un tratament pentru dintii sensibili?

  In functie de gradul de sensibilitate, medicul stimatolog va recomanda produsele necesare.

  Medicul stomatolog va folosi: un produs de desensibilizare  pentru a ameliora simptomele de dinti hipersensibili si anume un gel sau un lac desensibilizant.De asemenea se va opta pentru acoperirea zonelor dintre dinte si gingie, acoperind partea expusa.

  Daca dupa nici una dintre aceste doua metode hipersensibilitatea persista, se va apela la un tratament de canal.

    Cum previn sensibilitatea dintilor?

  -Periati si folositi ata dentara zilnci si asiguratii-va ca dintii dvs sunt curatati in intregime.

  -Folositi o periuta de dinti soft.

  -Renuntati la produsele acide precum bauturile carbogazoase si citrice.

  -Daca aveti obiceiul de a inclesta sau scrasni dinti este necesra sa folositi un aparat special- gutiere.

  -Nu presati, nu muscati si nu spargeti cu dintii obiecte dure, nici chiar gheata,deoarece acestea pot provoca fisuri in interiorul dintilor.


Velvet Dental

BUCURESTI

Bucuresti

Adresa: Str. Herastrau nr. 1 , Sector 1

Tel: 0212301113

E-mail:

Web: www.velvetdental.ro

L
9:00-21:00
V
9:00-21:00
M
9:00-21:00
S
9:00-15:00
M
9:00-21:00
D
Inchis
J
9:00-21:00
Reprezinti o clinica medicala? Uite cum te putem ajuta!